Главная Случайная страница


Полезное:

Как сделать разговор полезным и приятным Как сделать объемную звезду своими руками Как сделать то, что делать не хочется? Как сделать погремушку Как сделать так чтобы женщины сами знакомились с вами Как сделать идею коммерческой Как сделать хорошую растяжку ног? Как сделать наш разум здоровым? Как сделать, чтобы люди обманывали меньше Вопрос 4. Как сделать так, чтобы вас уважали и ценили? Как сделать лучше себе и другим людям Как сделать свидание интересным?


Категории:

АрхитектураАстрономияБиологияГеографияГеологияИнформатикаИскусствоИсторияКулинарияКультураМаркетингМатематикаМедицинаМенеджментОхрана трудаПравоПроизводствоПсихологияРелигияСоциологияСпортТехникаФизикаФилософияХимияЭкологияЭкономикаЭлектроника






Визуальная диагностика_рус

$$$001

Мужчина 25 лет, поступил с жалобами на повышение температуры тела до 37,5, тупые боли в пояснице, миалгия. Со слов 5 дней назад заболел фарингитом, после чего покраснела моча. В анализах мочи: протеинурия, макрогематурия. Ваша тактика для уточнения диагноза

А) Определение IgA в сыворотке крови

В) УЗДГ почечных сосудов

С) Внутривенная урография

D) Биопсия слизистой кишечника

Е) УЗИ почек

{Правильный ответ}= В

{Сложность}= 1

{Учебник}= (Нефрология: Руководство для врачей. Рябов С.И., 2010г)

{Курс}=7

{Семестр}=14

$$$002

У пожилого пациента с давней гипертонией, атеросклерозом венечных сосудов, внезапно давление перестало поддаваться коррекции, резко возросли цифры АД до 230-240/130 мм.рт.ст. Какой метод диагностики будет решающим в постановки диагноза:

A) УЗДГ сосудов почек

B) УЗИ почек

C) УЗИ надпочечников

D) Суточное мониторирование АД

E) Глазное дно

{Правильный ответ}=A

{Сложность}=1

{Учебник}=(Нефрология: Руководство для врачей. Рябов С.И., 2010г.)

{Курс}=7

{Семестр}=14

$$$003

Мужчина 52 лет находился на лечении по поводу трансмурального передне-перегородочного инфаркта миокарда. На 3-й день болезни состояние ухудшилось, появился грубый систолический шум в III межреберье у левого края грудины и признаки нарастающей правожелудочковой недостаточности. Какой метод обследования назначить для диагностики развившегося осложнения?

А) ЭКГ

В) ЧПЭС

С) ЭхоКГ

D) селективнуюкоронароангиографию

Е) рентгенографию органов грудной клетки

{Правильный ответ}= С

{Сложность}= 2

{Учебник}= (Руководство по кардиологии. 2010г)

{Курс}=7

{Семестр}=14

$$$004

Женщину 45 лет в течение последних 2 месяцев стали беспокоить боли в правом подреберье, 2 недели назад развилась желтуха. В анамнезе вирусный гепатит В, злоупотребляет алкоголем. При осмотре пониженного питания. Кожа и склеры желтушны, имеются телеангиэктазии. Живот вздут. Печень на 3 – 4 см выступает из-под края реберной дуги, плотная, чувствительная. Селезёнка билирубин – 74 мкмоль/л, преимущественно за счет прямой фракции. Какой метод обследования НАИБОЛЕЕ информативен?

А) ЭРХПГ

В) трепанобиопсия

С) дуоденальное зондирование

D)пункционная биопсия печени

Е) УЗИ органов брюшной полости 4

{Правильный ответ}= D)

{Сложность}= 2

{Учебник}= ()

{Курс}=7

{Семестр}=14

$$$005

Девушка 17 лет отмечает повышение массы тела, нарушение менструального цикла в течение года. На коже бедер, живота, молочных желез широкие багровые стрии. АД - 140/90 мм рт. ст. Тест толерантности к глюкозе: натощак – 4,5 ммоль/л; через 2 часа после нагрузки глюкозой – 8,6 ммоль/л. Уровень кортизола в крови в 8 часов -1060 нг/л (норма – 260-720 нг/л), в 14 часов -1250 нг/л. В алгоритм диагностики болезни Иценко-Кушинга входит:

A) Электроэнцефалография

B) Определение уровня ТТГ

C) КТ надпочечников

D) Определение уровня холестерина

E) УЗИ щитовидной железы

{Правильный ответ} = С

{Сложность}=2

{Учебник}= (Дедов И.И., Мельниченко Г.А., Фадеев В.В.. Эндокринология.Москва Медицина, 2000 – 630с.)

{Курc}=7

{Семестр}=14

$$$006

Мужчина 40 лет жалуется на боли и припухлость в коленных и голеностопных суставах. Болен более 10 лет. При осмотре на ушных раковинах имеются мелкие узелки. В крови: СОЭ-30 мм/час, мочевая кислота-0,56 ммоль/л. Назовите рентгенологические изменения голеностопных суставов?

A) Сужение суставной щели, симптом пробойника

B) Сужение суставной щели, субхондральный склероз

C) Расширение суставной щели, множественные эрозии

D) Сужение суставной щели, околосуставной остеопороз

E) Расширение суставной щели, кистевидные просветления

{Правильный ответ}= A

{Сложность} = 2

{Учебник} = («Клинические рекомендации. Ревматология» п/р акад. Е.Л. Насонова - Москва «ГЭОТАР-Медиа» 2011г.)

{Курс} = 7

{Семестр} = 14

$$$007

Больной К., 57 лет поступила с жалобами на похудание, общую слабость, головокружение, боли в позвоночнике. В крови: эр-3,0 млн., Нв-92 г/л, ЦП-0,9, лейк-6,1 тыс., тромб-180 тыс. СОЭ-67 мм/ч. Общий белок-105 г/л, Ig класса G-45 г/л. В миелограмме: плазматические клетки 27%. Больному проведенаR-графия плоских костей. Какие изменения можно увидеть на R-графии?

А) Множественные очаги деструкции костной ткани

В) Деструкция костей чередующаяся с зонами склероза и остеолиза

С) Очаги деструкции с нечеткими, неровными контурами. Картина ячеистой перестройки.

D) Уплотнение костной ткани


Е) Дистрофические изменения костей

{Правильный ответ}=А

{Cложность}=2

{Учебник}=(Руководство по гематологии, Воробьев А.И., 2010)

{Курс}=7

{Семестр}=14

$$$008

Ребенок, 3 лет. Жалобы на боли в груди, снижение аппетита, быструю утомляемость. Динамика туберкулиновых проб: 1 год - 7мм, 2 года - 5мм, 3 года - 13мм. Пальпируются 6 групп периферических лимфатических узлов эластической консистенции II – III размеров. Перкуторно: укорочение легочного звука справа от 2 ребра до диафрагмы. Печень выступает из-под края реберной дуги на 1,5 см. Рентгенологически: в правой половине грудной клетки гомогенное затемнение от 1 ребра до диафрагмы, органы средостения смещены влево. После плевральной пункции произведено повторное рентгенологическое обследование, при котором обнаружено опухолевидное образование с полициклическим наружным контуром, связанное с корнем правого легкого, правый синус не прослеживается. Микроскопически МБТ не обнаружены. Поставьте диагноз:

А)Первичный туберкулезный комплекс

В)Туберкулез внутригрудных лимфатических узлов

С)Саркоидоз

D)Лимфосаркома

Е)Инфильтративный туберкулез

{Правильный ответ}=D)

{Сложность}=2

{Учебник}= (Аллергология 2010, Хаитов Р.М., Ильина Н.И., 2010г.)

{Курс}= 7

{Семестр}=14

$$$009

Больной А., 62 лет находится на лечении по поводу трансмурального инфаркта миокарда. На 3-й день болезни состояние больного ухудшилось, появился грубый систолический шум в III межреберье у левого края грудины и признаки нарастающей правожелудочковой недостаточности. Какой метод обследования надо назначить для диагностики развившегося осложнения?

А) электрокардиографию в 12 отведениях

В) суточное мониторирование ЭКГ

С) доплер-эхокардиографию

D) селективнуюкоронароангиографию

Е) рентгенографию органов грудной клетки

{Правильный ответ}= С

{Сложность}= 3

{Учебник}= (Руководство по кардиологии. 2010г)

{Курс}=7

{Семестр}=14

$$$010

Больной Ж. 66 лет, жалуется на кашель с гнойной мокротой до 200мл, со зловонным запахом. Повышение температуры тела до 40°С, озноб, слабость, потливость. Какие изменения ожидаете рентгенологически?

A) Полость округлой формы с горизонтальным уровнем жидкости

B) Полость с неровным внутренним контуром, увеличение прикорневых узлов

C) Тонкостенная полость с горизонтальным уровнем без воспалительной инфильтрации

D) Тонкостенная киста с волнистым внутренним контуром на фоне горизонтального уровня жидкости

E) Негомогенное затемнение округлой формы с серповидным просветлением

{Правильный ответ}=A

{Сложность}=3

{Учебник }=(Респираторная медицина. Руководство под ред.акад. РАМН Чучалина А.Г.. Медицина, 2011, в 2-х томах)

{Курс}=7

{Семестр}=14

$$$011

Больной, 52 лет. Безработный. В течение 2 месяцев отмечает слабость, кашель с слизистой мокротой, ознобы. После службы в армии наблюдался у фтизиатра в О группе учета, активность туберкулезного процесса не подтвердилась. Рентгенологически: на протяжении верхних долей с обеих сторон определяются множественные тени до 1 см, малой и средней интенсивности, слева на верхушке - тонкостенная полость. В ОАК: лейкоциты 11,8х109/л; СОЭ 29 мм/час. Микроскопически в мокроте обнаружены МБТ. Поставьте диагноз:


А) Диссеминированный туберкулез легких в фазе инфильтрации. Рецидив. 4 категория. 1В группа диспансерного учета

В) Диссеминированный туберкулез легких в фазе распада. Новый случай. 1 категория. 1А группа диспансерного учета

С) Инфильтративный туберкулез легких в фазе обсеменения. Другие. 2 категория. 1В группа диспансерного учета

D) Диссеминированный туберкулез легких в фазе распада. Рецидив. 2 категория. 1Б группа диспансерного учета

Е)Инфильтративный туберкулез легких в фазе распада. Новый случай. 1 категория. 1А группа диспансерного учета

{Правильный ответ}

{Сложность} = 3

{Учебник} = Внутренние болезни. Браунвальд Е. 10 кн. М., 1993; Внутренние болезни в 2-х томах /под ред. Б.И.Шулутко/. СПб., 1994; Внутренние болезни под.ред. А.И. Мартынова и др. 3-е изд. М., Медицина, 2005г.

{Курс} = 7

{Семестр} = 14

$$$012

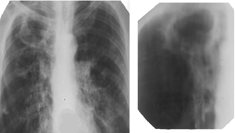
Больной, 40 лет, обратился с жалобами на отеки в области лодыжек, боли в правом подреберье, тошноту, слабость. Болеет туберкулёзом легких в течение 5 лет. Бактериовыделение непостоянное. Диуретики дают кратковременный эффект. Рентгенограмма (1) и томограмма (2) легких представлены. В ОАК: гемоглобин 115г/л, эритроциты 3,4х1012/л, лейкоциты 11х109/л, СОЭ 40 мм/ч. В ОАМ: белок 1,33%, гиалиновые цилиндры. В биохимическом анализе крови: креатинин 126ммоль / л, АлАт 1,2 мккат/л, билирубин 32 ммоль/л, общий белок 50г/л. Поставьте диагноз и выберите оптимальное лечение:

A)Фиброзно–кавернозный туберкулез верхней доли правого легкого в фазе инфильтрации. Амилоидоз почек. Витамины, муколитики, диуретики

B)Цирротический туберкулез легких в фазе инфильтрации. Амилоидоз почек. Диуретики, белковые препараты, кардиотоники

C)Фиброзно-кавернозный туберкулез верхней доли правого легкого в фазе обсеменения. Амилоидоз внутренних органов. Гепатопротекторы, белковые препараты, диуретики

D)Цирротический туберкулез верхней доли правого легкого в фазе обсеменения. Амилоидоз внутренних органов. Гепатопротекторы, витамины, диуретики

E)Фиброзно–кавернозный туберкулез верхней доли правого легкого в фазе обсеменения. Амилоидоз печени. Витамины, муколитики, Гепатопротекторы, диуретики

{Правильный ответ}=C

{Сложность}=3

{Учебник}=(Пульмонология: Руководство для врачей. Чучалин С.И., 2012г.)

{Курс}=7

{Семестр}=14

 

 



<== предыдущая | следующая ==>
 | Как ищущие впервые обрели Бога





Date: 2015-07-22; view: 461; Нарушение авторских прав



mydocx.ru - 2015-2026 year. (0.306 sec.) Все материалы представленные на сайте исключительно с целью ознакомления читателями и не преследуют коммерческих целей или нарушение авторских прав - Пожаловаться на публикацию