Главная Случайная страница


Полезное:

Как сделать разговор полезным и приятным Как сделать объемную звезду своими руками Как сделать то, что делать не хочется? Как сделать погремушку Как сделать так чтобы женщины сами знакомились с вами Как сделать идею коммерческой Как сделать хорошую растяжку ног? Как сделать наш разум здоровым? Как сделать, чтобы люди обманывали меньше Вопрос 4. Как сделать так, чтобы вас уважали и ценили? Как сделать лучше себе и другим людям Как сделать свидание интересным?


Категории:

АрхитектураАстрономияБиологияГеографияГеологияИнформатикаИскусствоИсторияКулинарияКультураМаркетингМатематикаМедицинаМенеджментОхрана трудаПравоПроизводствоПсихологияРелигияСоциологияСпортТехникаФизикаФилософияХимияЭкологияЭкономикаЭлектроника






Тесты по акушерству и гинекологии





 

для 4 курса факультета

«Общая Медицина».

3 уровень.

 

 

Ваш диагноз по УЗИ снимку//

 

pic1.jpg //

 

 

Миома матки //

Аненцифалия //

Анэмбриония //

+Беременность 12 недель

***

 

 

Ваш диагноз по УЗИ снимку//

 

 

pic2.jpg //

+Заячья губа//

Волчья пасть//

Множественные пороки развития//

Анэнцефалия

***

 

Ваш диагноз по УЗИ снимку//

 

 

pic3.jpg //

 

Анэнцефалия//

ВМС в полости матки //

+Косолапость плода//

Множественные пороки развития

***

 

 

Ваш диагноза при лапароскопии: //

 

 

pic7.jpg //

 

внематочная беременность //

+Параовариальная киста //

Пиосальпингс //

Миома матки

***

 

Ваш диагноза при лапароскопии: //

 

 

pic9.jpg //

 

Киста яичника //

+Трубный аборт //

Рак яичника //

Пельвиоперитонит

***

 

Ваш диагноза при лапароскопии: //

 

 

pic10.jpg //

 

+Прогрессирующая внематочная беременность //

Киста яичника //

Рак яичника //

Миома матки

***

 

 

Ваш диагноз при ГСГ: //

 

 

pic11.jpg //

 

Окклюзия маточных труб //

Миома матки //

+Удвоенная матка //

Выход контраста в малый таз

***

 

 

Ваш диагноз при ГСГ: //

 

 

pic12.jpg //

 

Окклюзия обоих маточных труб //

Аномалия матки //

+ТБЦ гениталий //

Гидросальпингс

***

 

Ваш диагноз по партограмме: //

 

 

pic16.jpg //

 

Патологический прелиминальный период //

Физиологический прелиминарный период //

+Преждевременное излитие околоплодных вод (б.п. – 4 ч.) II позиция, передний вид//

Слабость I периода родов, раннее излитие околоплодных вод (б.п. – 4 ч.) II позиция, задний вид

***

 

 

Ваш диагноз по партограмме: //

 

 

pic17.jpg //

 

I период родов, острая гипоксия //

Слабость II периода родов //

Преждевременное излитие околоплодных вод, II период родов //

+II период родов. Физиологические роды.

***

 

Ваш диагноз по партограмме: //

 

 

pic18.jpg //

 

I период родов //

+Патологический прелиминарный период //

Слабость I периода родов //

Физиологический прелиминаный период

***

 

 

Ваш диагноз по партограмме: //

 

 

pic19.jpg //

 

+II период родов. Дистресс плода, задний вид //

II период родов, высокое прямое стояние головки плода //

Слабость II периода родов, острая гипоксия //

Конец I периода родов, острая гипоксия, задний вид

***

 

 

Ваш диагноз по партограмме: //

 

 

pic20.jpg //

 

II период родов, раннее излитие околоплодных вод, I позиция, передний вид//

Слабость I периода родов, раннее излитие околоплодных вод, II позиция, передний вид //

+Вторичная слабость I периода родов, дистресс плода, I позиция, передний вид //

I период родов, острая гипоксия плода, I позиция, задний вид

***

 

 

Больная Б., 36 лет, обратилась к врачу женской консультации с жалобами на обильные менструации.

В л а г а л и щ н о е и с с л е д о в а н и е: наружные половые органы развиты правильно. Влагалище — не рожавшей женщины. Шейка; матки субконической формы, чистая. Матка увеличена до 12 нед. беременности, плотная, подвижная, безболезненная. При­датки с обеих сторон не определяются, область их безболезненна. Выделения кровяные, обильные.

После дообследования больная прооперирована. Макропрепарат представлен на рисунке.

Поставьте диагноз.

 

макропрепарат:

маточная беременность; //

аденомиоз; //

киста яичника; //

+множественная миома матки; //

рак матки.

***

 

 

Больная Н., 37 лет, обратилась к врачу женской консультации с ж а л о б а м и на дисменорею с началом менархе. Женщина отмечает, что последние 4 года менструации стали более обильными, резко болезненными и продолжительными.

В л а г а л и щ н о е и с с л е д о в а н и е: наружные половые органы развиты правильно. Влагалище – рожавшей женщины. Шейка матки цилиндрической формы. Наружный зев закрыт. Матка нормальной величины, плотная, безболезненная. Слева придатки не определяются, справа и сзади от матки пальпируется болезненное образование размерами 7Х8Х6 см., ограниченно подвижное. Своды влагалища глубокие. Выделения из половых путей слизистые.


Данные ультразвукового исследования представлены на рисунке.

Ваш диагноз.

 

 

УЗИ:

+эндометриоидная киста яичника; //

миома матки; //

жидкость в малом тазу; //

маточная беременность; //

мочевой пузырь.

***

 

Больная Н., 37 лет, обратилась к врачу женской консультации с ж а л о б а м и на дисменорею с началом менархе. Женщина отмечает, что последние 4 года менструации стали более обильными, резко болезненными и продолжительными.

В л а г а л и щ н о е и с с л е д о в а н и е:

Наружные половые органы развиты правильно. Влагалище – рожавшей женщины. Шейка матки цилиндрической формы. Наружный зев закрыт. Матка нормальной величины, плотная, безболезненная. Слева придатки не определяются, справа и сзади от матки пальпируется болезненное образование размерами 7Х8Х6 см., ограниченно подвижное. Своды влагалища глубокие. Выделения из половых путей слизистые.

После дообследования больной предложено оперативное лечение. В плановом порядке больная прооперирована, удален яичник макроскопически представлен на картинке.

Ваш диагноз.

 

макропрепарат:

+эндометриоидные кисты яичника; //

рак яичника; //

аденомиоз; //

внематочная беременность; //

свершившийся выкидыш

***

 

Больная Б., 36 лет, обратилась к врачу женской консультации с жалобами на гиперполименорею последние 2 года.

В л а г а л и щ н о е и с с л е д о в а н и е: наружные половые органы развиты правильно. Влагалище — рожавшей женщины. Шейка; матки цилиндрической формы, эпителий цел. Матка увеличена до 10 нед. беременности, плотная, подвижная, безболезненная. При­датки с обеих сторон не определяются, область их безболезненна. Выделения кровяные, обильные.

После дообследования больная прооперирована. Макропрепарат представлен на рисунке.

Поставьте диагноз.

 

макропрепарат:

внематочная беременность; //

эндометриоидная киста; //

+леомиома матки;//

рак матки; //

рак яичника.

***

 

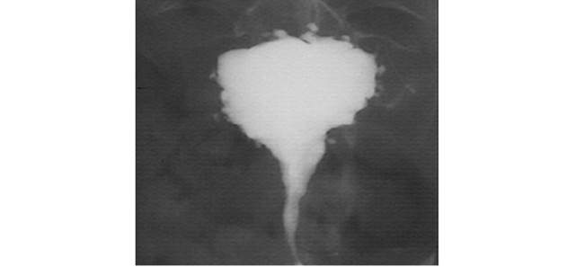
Больная Б., 36 лет, обратилась к врачу женской консультации с жалобами на обильные, болезненные менструации, периодические запоры

В л а г а л и щ н о е и с с л е д о в а н и е: наружные половые органы развиты правильно. Влагалище — не рожавшей женщины. Шейка; матки субконической формы, чистая. Матка увеличена до 12 нед. беременности, плотная, подвижная, безболезненная. При­датки с обеих сторон не определяются, область их безболезненна. Выделения кровяные, обильные.

Проведено обследование. Данные гистерографии представлены на рисунке.

Поставьте диагноз.

гистерография:

поликистоз; //

рак яичников; //

аномалия матки; //

тубовариальное образование; //

+множественная субсерозная миома матки

***

 

Больная Н., 37 лет, обратилась к врачу женской консультации с ж а л о б а м и на дисменорею с началом менархе. Женщина отмечает, что последние 4 года менструации стали более обильными, резко болезненными и продолжительными.

В л а г а л и щ н о е и с с л е д о в а н и е: наружные половые органы развиты правильно. Влагалище – рожавшей женщины. Шейка матки цилиндрической формы. Наружный зев закрыт. Матка нормальной величины, плотная, безболезненная. Слева придатки не определяются, справа и сзади от матки пальпируется болезненное образование размерами 7Х8Х6 см., ограниченно подвижное. Своды влагалища глубокие. Выделения из половых путей слизистые.


После дообследования больной предложено оперативное лечение. В плановом порядке больная прооперирована, удалена киста, макроскопически представлена на картинке.

Ваш диагноз.

 

Макропрепарат:

миома матки; //

+эндометриоидная киста; //

печень; //

фолликулярная киста; //

внематочная беременность.

***

 

 

Больная А., 24 лет, поступила с жалобами на боли внизу живота и кровянистые выделения из половых путей. На зеркалах: цианоз слизистой шейки матки, PV: матка слегка увеличена, подвижная, справа в области придатков определяется образование, болезненное, тестоватой консистенции. При лапароскопии следующая картина. Ваш диагноз.

Лапароскопия:

субсерозная миома матки; //

удвоенная матка; //

эндометриоидная киста; //

пиосальпингс; //

+трубная беременность;

***

 

Больная Ш., 32 лет, обратилась к врачу женской консультации с жалобами на темно-кровянистые выделения из половых пу­тей накануне менструации, дисменорею.

Из половых путей отходят кровянистые, темные, скудные выделения.

В л агалищное обследов а н и е: наружные половые органы развиты правильно. Влагалище — рожавшей женщины. Шейка матки имеет цилиндрическую форму, не деформирована. Наружный зев закрыт. Матка шаровидной формы, крупнее нормы, безболезненная при пальпации
Придатки не определяются. Зона их безболезненна.

Проведена гистерография. Данные гистерографии представлены на рисунке.

Ваш диагноз.

 

гистерография:

рак матки; //

+эндометриоз матки; //

миома матки; //

удвоенная матка; //

киста яичника

***

 

 

Больная С., 30 лет, обратилась к врачу женской консультации с жалобами на темно-кровянистые выделения из половых пу­тей накануне менструации, дисменорею, отсутствие беременности в течение 5 лет брака.

Из половых путей отходят кровянистые, темные, скудные выделения.

В л агалищное обследов а н и е: наружные половые органы развиты правильно. Влагалище — нерожавшей женщины. Шейка матки имеет субконическую форму, не деформирована. Наружный зев закрыт. Матка шаровидной формы, крупнее нормы, безболезненная при пальпации
Придатки не определяются. Зона их безболезненна.

Проведена гистерография. Данные гистерографии представлены на рисунке.

Ваш диагноз:

 

 

Гистерография:

+аденомиоз; //

киста яичников; //

рак матки; //

аномалия матки; //

миома матки.

***

 

 

Больная В., 36 лет, обратилась к врачу женской консультации с жалобами на боли в животе накануне менструации, мажущие кровянистые выделения накануне и после менструации.


В л агалищное обследов а н и е: наружные половые органы развиты правильно. Влагалище — рожавшей женщины. Шейка матки имеет цилиндрическую форму, не деформирована. Наружный зев закрыт. Матка шаровидной формы, крупнее нормы, безболезненная при пальпации
Придатки не определяются. Зона их болезненна.

Проведена гистерография. Данные гистерографии представлены на рисунке.

Ваш диагноз:

 

 

 

При лапароскопии:

разлитой перитонит; //

миома матки; //

внематочная беременность; //

спаечный процесс малого таза; //

+эндометриоидные гетеротопии малого таза

***

 


В гинекологическую клинику поступила больная В., 53 лет, с кровяными выделениями из влагалища.

В последние 3 мес. из влагалища периодически (2—3 раза в ме­сяц) появляются умеренные кровяные выделения.

После дообследования больная в плановом порядке прооперирована.

Макропрепарат представлен на рисунке. Ваш диагноз.

 

 

макропрепарат:

рак матки; //

неполный выкидыш; //

миома матки; //

+полипоз матки; //

все перечисленное.

***

 

 

Больная Л., 53 лет, доставлена в гинекологическое отделение по поводу значительных кровяных выделений из влагалища.

Последняя нормальная менструация была 1 год тому назад. В течение последнего года менструации нерегулярные (дважды в месяц, продолжаются в виде мажущих выделений по 8—10 дней).

Осмотр при помощи зеркал: шейка матки цилиндри­ческой формы, отечна, из цервикального канала отходят кровяные выделения с небольшими сгустками.

Влагалищное исследование: наружные половые органы развиты правильно. Шейка матки цилиндрической формы, обычной консистенции, зев закрыт. Смешение шейки матки безбо­лезненно. Размеры тела матки больше нормы. Оно плотное, подвиж­ное, безболезненное. Область придатков свободна. Опухолевые обра­зования и инфильтраты в малом тазу определить не удается.

Больная прооперирована в условиях онкодиспансера. Макропрепарат представлен на рисунке. Ваш диагноз.

 

макропрепарат:

миома матки; //

+карцинома матки; //

рак яичников; //

пиосальпингс; //

нет правильного ответа.

***

 

Больная В., 54 лет, поступила в больницу с жалобами на ноющую боль в левой подвздошной области, которая иррадиирует в левое бедро, учащенное, безболезненное мочеиспускание.

Данные ультразвукового исследования представлены на рисунке.

Ваш диагноз.

 

ульторосонография:

рак матки; //

миома матки; //

эндометриоз матки; //

+двухкамерная киста; //

анэмбриония

***

 

Больная Я., 28 лет обратилась с жалобами на редкие менструации, через

2-4 месяца, первичное бесплодие в течение 10 лет, прогрессирующее ожирение и гирсутизм.

Данные ультразвукового исследования представлены на рисунке.

Ваш диагноз.

 

Ультросонография:

пузырный занос; //

рак матки; //

рак яичника; //

жидкость в брюшной полости; //

+Поликистоз.

***

 

Больная Д., 31 года, поступила в больницу с жалобами на внезапно возникшие боли внизу живота схваткообразного характера с иррадиацией в крестец и скудные кровяные выделения из половых путей. Сразу же после болей появилась тошнота.

Влагалищное исследование: наружные половые органы и влагалище развиты правильно. Шейка матки слегка цианотична, деформирована за счет старых послеродовых рубцов не эрозирована, из цервикального канала отходят мажущие кровяные выделения. При пальпации шейка матки обычной консистенции, смещение ее болезненно. Наружный зев проходим для кончика пальца, длина шейки составляет 3 см. Тело матки находится в обычном положении, несколько больше нормы, мягковато, слегка болезненно при исследовании. Придатки с обеих сторон в спайках, справа не увеличены, несколько болезненны при пальпации, слева в области придатков определяется опухолевое образование, ограни­ченно подвижное, болезненное, тугоэластичной консистенции, яйце­видной формы, размерами 4X4X5 см.

После дополнительных методов исследования больная в экстренном порядке прооперирована. Макропрепарат представлен на рисунке. Ваш диагноз.

макропрепарат:

маточный выкидыш; //

брюшная беременность; //

+трубная беременность; //

аборт в ходу; //

замершая беременность

***

 

 

Больная Д., 31 года, поступила в больницу с жалобами на внезапно возникшие боли внизу живота схваткообразного характера с иррадиацией в крестец и скудные кровяные выделения из половых путей. Сразу же после болей появилась тошнота.

Влагалищное исследование: наружные половые органы и влагалище развиты правильно. Шейка матки слегка цианотична, деформирована за счет старых послеродовых рубцов не эрозирована, из цервикального канала отходят мажущие кровяные выделения. При пальпации шейка матки обычной консистенции, смещение ее болезненно. Наружный зев проходим для кончика пальца, длина шейки составляет 3 см. Тело матки находится в обычном положении, несколько больше нормы, мягковато, слегка болезненно при исследовании. Придатки с обеих сторон в спайках, справа не увеличены, несколько болезненны при пальпации, слева в области придатков определяется опухолевое образование, ограни­ченно подвижное, болезненное, тугоэластичной консистенции, яйце­видной формы, размерами 4X4X5 см.

После дополнительных методов исследования больная в экстренном порядке прооперирована. Макропрепарат представлен на рисунке. Ваш диагноз.

 

Макропрепарат:

эндометриоидная киста; //

прервавшаяся маточная беременность; //

брюшная беременность; //

рак яичника; //

+прервавшаяся внематочная беременность.

***

 

 

Больная В., 54 лет, поступила в больницу с жалобами на ноющую боль в левой подвздошной области, которая иррадиирует в левое бедро, учащенное, безболезненное мочеиспускание.

Данные лапароскопического исследования представлены на рисунке.

Ваш диагноз.

 

при лапароскопии:

+цистаденома яичника;//

субсерозная миома; //

внематочная беременность; //

рак яичника; //

нет правильного ответа

***

 







Date: 2015-07-11; view: 1138; Нарушение авторских прав



mydocx.ru - 2015-2026 year. (1.907 sec.) Все материалы представленные на сайте исключительно с целью ознакомления читателями и не преследуют коммерческих целей или нарушение авторских прав - Пожаловаться на публикацию