Главная Случайная страница


Полезное:

Как сделать разговор полезным и приятным Как сделать объемную звезду своими руками Как сделать то, что делать не хочется? Как сделать погремушку Как сделать так чтобы женщины сами знакомились с вами Как сделать идею коммерческой Как сделать хорошую растяжку ног? Как сделать наш разум здоровым? Как сделать, чтобы люди обманывали меньше Вопрос 4. Как сделать так, чтобы вас уважали и ценили? Как сделать лучше себе и другим людям Как сделать свидание интересным?


Категории:

АрхитектураАстрономияБиологияГеографияГеологияИнформатикаИскусствоИсторияКулинарияКультураМаркетингМатематикаМедицинаМенеджментОхрана трудаПравоПроизводствоПсихологияРелигияСоциологияСпортТехникаФизикаФилософияХимияЭкологияЭкономикаЭлектроника






Учебные препараты





Вопросы для самоконтроля.

1. Назовите источники развития соединительной ткани.

2. Укажите составные компоненты рыхлой волокнистой неоформленной соединительной ткани.

3.Укажите локализацию и функции рыхлой волокнистой неоформленной соединительной ткани.

4. Перечислите клеточные элементы рыхлой волокнистой неоформленной соединительной ткани.

5. Укажите составные части межклеточного вещества рыхлой волокнистой неоформленной соединительной ткани.

6. Перечислите виды волокон, входящих в состав межклеточного вещества рыхлой волокнистой неоформленной соединительной ткани, укажите их морфофункциональные особенности.

7.Укажите цитологические особенности и функции фибробласта.

8. Укажите цитологические особенности и функции макрофага.

9. Дайте характеристику макрофагальной системы организма.

10. Укажите цитологические особенности и функции тучных клеток (тканевых базофилов).

11. Укажите цитологические особенности адипоцитов.

12. Укажите цитологические особенности пигментоцитов.

13. Укажите цитологические особенности и функции плазмоцитов.

14. Назовите клетки и укажите составные компоненты межклеточного вещества ретикуляторной ткани.

15. Укажите основные функции и локализацию ретикулярной ткани.

16.Охарактеризуйте строение жировой ткани, ее разновидности.

17. Охарактеризуйте особенности строения слизистой и пигментной тканей.

18.Назовите разновидности плотных соединительных тканей.

19.Укажите локализацию в организме плотной неоформленной соединительной ткани.

20. Укажите локализацию в организме плотной оформленной соединительной ткани.

21.Опишите строение сухожилий и фиброзных мембран.

Изучение гистологических препаратов.

Учебные препараты.

Рис. 5.1. Рыхлая неоформленная соединительная ткань.

Пленочный препарат. Окр.: железным гематоксилином по

Ясвоину.

При малом увеличении видно, что основу препарата составляют волокна, лежащие в разных направлениях, что характерно для неоформленной соединительной ткани, между волокнами находится много аморфного вещества, что является признаком рыхлой волокнистой соединительной ткани.

Выбрав участок с рыхлым расположением волокон и значительным количеством клеток – рассмотрим его под большим увеличением. Коллагеновые волокна окрашены в синий цвет, они разной толщины, волнообразно извиваются. От них резко отличаются эластические волокна – они тонкие и прямые. Из клеточных элементов легко найти фибробласты. Это крупные клетки неопределенной формы и с неясными контурами. Ядра у них крупные, овальные, светлые с мелкими гранулами хроматина и обычно с одним двумя ядрышками. При удачной окраске можно выявить различия в окраске цитоплазмы – более темную эндоплазму, окружающую ядро, и более светлую экзоплазму, расположенную по периферии цитоплазмы. Другой вид клеток – макрофаги (гистиоциты) – отличаются плотным, интенсивно окрашенным ядром, четкими контурами и слегка пенистой цитоплазмой. Реже встречаются в препарате лимфоциты, отличаются плотным круглым ядром и тоненьким ободком цитоплазмы. Прочие клетки встречаются редко. И волокна и клетки погружены в аморфное вещество, слабо заметное в виде фона препарата.

Рис. 5.2. Плотная оформленная соединительная ткань.

Поперечный срез сухожилия. Окр.: Г+Э.

На поперечном срезе сухожилия видна соединительная ткань, так называемый перитеноний, окружающая все сухожилие. Отчётливо видны и разной толщины прослойки рыхлой соединительной ткани, отходящие от этого перитенония внутрь сухожилия и образующие в нем широко петлистую сеть эндотенония. Тонкие прослойки последнего охватывают сухожильные пучки второго порядка. (На месте этих тонких прослоек рыхлой соединительной ткани нередко, в результате их съёживания, обусловленного фиксацией видны лишь светлые щели.) Более толстыми прослойками эндотенония, в которых иногда можно заметить мелкие кровеносные сосуды, охвачены пучки третьего порядка. Пучком четвертого порядка может явиться уже целиком само сухожилие. Что касается пучков первого порядка, то рыхлой соединительной ткани между ними не имеется, и отграничиваются они друг от друга лишь сухожильными клетками. Сдавленные пучками волокон эти клетки на поперечном сечении имеют вид мелких треугольников.

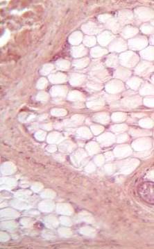
Рис. 5.3. Жировая ткань. Срез кожи головы. Окр.: Г+Э.

При малом увеличении найдите жировую ткань, расположенную в глубоких частях кожи. В процессе изготовления пре­парата (проводка через спирты и другие органические растворители) жировые включения растворяются и на их месте остаются пустоты, указывающие, что в клетках был жир. В случае растворения больших жировых вакуолей, заполнявших почти всю цитоплазму, клетки выглядят пустыми и образуют структуру, по виду на­поминающую пчелиные соты. Надо изучить строение жировой ткани при большом увеличении. Всю внутреннюю часть жировой клетки занимает пусто­та, оставшаяся на месте растворенного жира. Обо­док цитоплазмы расширяется в области прижатого к оболочке уплощенного ядра. Некоторые клет­ки выглядят безъядерными, так как ядро не попа­ло в срез. Между жировыми клетками находится рых­лая соединительная ткань с сосудами и нерв­ными стволиками.


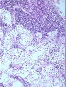
Рис. 5.4. Ретикулярная (сетчатая) ткань. Лимфатический узел.Окр.: Г+Э

Лимфатический узел — кроветворный орган, в ко­тором развиваются лимфо­циты. Его строма (основа) образована ретикулярной тканью. При малом увели­чении видно, что большая часть лимфатического узла занята скоплениями лимфо­цитов. В центральном отделе лимфатического узла надо найти светлые пространства, почти незанятые лимфо­цитами. В них видна ретикулярная ткань, которую надо изучить и зарисовать при большом увели­чении Ретикулярная ткань состоит из ре­тикулярных клеток со слабоокрашенной цито­плазмой и из межклеточного вещества. Большая часть клеток, соединяясь отростками, образует сетча­тый ретикулярный остов - синцитий). Ядра ретикулярных клеток имеют округлую или овальную форму, окрашены бледнее ядер лимфоцитов (поэтому в них видно ядрышко). В свободных участках ретикулярно­го синцития находятся малые лимфоциты - мелкие округлые клетки с округлым, сильноокрашенным ядром и почти незаметным ободком цитоплазмы).

 

Демонстрационные препараты:

· Тучные клетки рыхлой волокнистой соединительной ткани. Окраска толуидиновым синим (рис. 5.5).

 

· Плазматические клетки рыхлой волокнистой соединительной ткани. Окр.: Г+Э (рис.5.6).

 

· Пылевые включения в макрофагах лимфатического узла. Окр.: Г+Э.

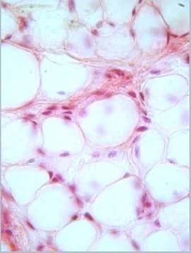
· Бурая жировая ткань. Окр.: Г+Э (рис.5.7).

 

Рис. 5.5. Тучные клетки рыхлой волокнистой соединительной ткани

Рис 5.6. Плазматические клетки рыхлой волокнистой соединительной ткани

Рис. 5.7. Бурая жировая ткань

Электроннограммы:

o Ретикулярная клетка

o Фибробласт.

o Макрофаг.

o Плазмоцит.

o Коллагеновая фибрилла.

 







Date: 2015-06-11; view: 1272; Нарушение авторских прав



mydocx.ru - 2015-2026 year. (3.448 sec.) Все материалы представленные на сайте исключительно с целью ознакомления читателями и не преследуют коммерческих целей или нарушение авторских прав - Пожаловаться на публикацию