Главная Случайная страница


Полезное:

Как сделать разговор полезным и приятным Как сделать объемную звезду своими руками Как сделать то, что делать не хочется? Как сделать погремушку Как сделать так чтобы женщины сами знакомились с вами Как сделать идею коммерческой Как сделать хорошую растяжку ног? Как сделать наш разум здоровым? Как сделать, чтобы люди обманывали меньше Вопрос 4. Как сделать так, чтобы вас уважали и ценили? Как сделать лучше себе и другим людям Как сделать свидание интересным?


Категории:

АрхитектураАстрономияБиологияГеографияГеологияИнформатикаИскусствоИсторияКулинарияКультураМаркетингМатематикаМедицинаМенеджментОхрана трудаПравоПроизводствоПсихологияРелигияСоциологияСпортТехникаФизикаФилософияХимияЭкологияЭкономикаЭлектроника






Задача № 3. 1) Что такое ирригоскопия?





 

Вопросы к рис. 1:

1) Что такое ирригоскопия?

2) Назовите основной рентгенологический признак рака сигмовидной кишки на прицельной рентгенограмме при ирригоскопии. Покажите его.

 

 

Рис. 1

 

Ответы:

1) Ирригоскопия – метод рентгенологического исследования толстой кишки путем ретроградного (с помощью клизмы) заполнения ее рентгенконтрастным веществом (взвесью сульфата бария).

2) На прицельной рентгенограмме сигмовидной кишки определяется циркулярное сужение ее, контуры суженного участка неровные, определяется «дефект наполнения».

 

 


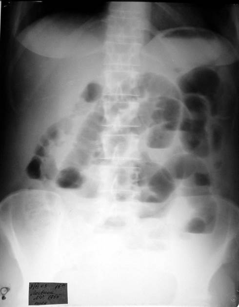
Вопросы к рис. 2:

1) Назовите рентгенологический метод исследования пациента, представленный на иллюстрации.

2) Назовите ведущий рентгенологический признак острой кишечной непроходимости и покажите его на рентгенограмме.

 

 

Рис. 2

 

Ответы:

1) Обзорная рентгенография брюшной полости.

2) На рентгенограмме определяются «чаши Клойбера» – вздутие петель кишечника с наличием скопления жидкости, образующей горизонтальные уровни.








Date: 2015-07-01; view: 632; Нарушение авторских прав



mydocx.ru - 2015-2026 year. (1.712 sec.) Все материалы представленные на сайте исключительно с целью ознакомления читателями и не преследуют коммерческих целей или нарушение авторских прав - Пожаловаться на публикацию