Главная Случайная страница


Полезное:

Как сделать разговор полезным и приятным Как сделать объемную звезду своими руками Как сделать то, что делать не хочется? Как сделать погремушку Как сделать так чтобы женщины сами знакомились с вами Как сделать идею коммерческой Как сделать хорошую растяжку ног? Как сделать наш разум здоровым? Как сделать, чтобы люди обманывали меньше Вопрос 4. Как сделать так, чтобы вас уважали и ценили? Как сделать лучше себе и другим людям Как сделать свидание интересным?


Категории:

АрхитектураАстрономияБиологияГеографияГеологияИнформатикаИскусствоИсторияКулинарияКультураМаркетингМатематикаМедицинаМенеджментОхрана трудаПравоПроизводствоПсихологияРелигияСоциологияСпортТехникаФизикаФилософияХимияЭкологияЭкономикаЭлектроника






Пән: Жалпы дәрігерлік практика OVP-4305 3 page





 

Гис будасының солжақ тармағының блокадасы//

Эктопиялық ритм//

Гис будасының оңжақ тармағының блокадасы//

Синоатриалдық блокада//

Қарыншалық экстрасистолия

***

P тісшесінің қалыпты жағдайдағы интервалы//

0,06 с//

0,08 с//

+0,10 с//

0,12 с//

0,14

***

67 жастағы науқас 10 жылдан бері АГ-мен ауырады. Соңғы жылдары

ентігу, жүрек қағу,аяқтарының ісуі мазалайды.Тексергенде: жүрек тондары ырғақты, бірақ әлсіздеу. Перкуссия жасағанда жүректің шекарасы солға ұлғайған.АҚҚ185/100мм.с.б.Дәрігердің қойған диагнозы://

АГ 3дәрежесі, өте жоғары қауіп тобы,жүрек функциясыныңсозылмалы жеткіліксіздігі,1ФК(NYHA)//

АГ 3дәрежесі, жоғары қауіп тобы,жүрек функциясының созылмалы жеткіліксіздігі,2ФК(NYHA)//

АГ 3дәрежесі,өте жоғары қауіп тобы,жүрек функциясының созылмалы жеткіліксіздігі,3ФК(NYHA)//

АГ 3дәрежесі, жоғары қауіп тобы,жүректің созылмалы жеткіліксіздігі,4ФК(NYHA)//

АГ 3дәрежесі, өте жоғары қауіп тобы,жүрек функциясының созылмалы жеткіліксіздігі,4ФК(NYHA)

***

66 жастағы науқас стационардан ЖИА,жедел миокард инфаркті деген диагнозбен емделіп шықты.Осы науқасқа қандай мөлшерде жүк көтеруге болады?//

1,5-2кг//

3кг//

3-4кг//

5-6кг//

10кг.

***

Науқас өте ауыр жұмыстан кейін пайда болып, тыныш күйде басылатын, төс артының және жүрек аймағындағы ауру сезімінің 1 ай бойы мазалайтынына шағымданды.Дәрігер науқастың жағдайын төмендегідей бағалады://

Қабырғааралық невралгия//

Бірінші рет пайда болған стенокардия//

Күш түскеннен болатын стенокардия ФК1//

Жедел коронарлық синдром//

Миокард инфаркті

***

АГ-ның 3-ші дәрежесімен ауыратын 56 жастағы науқастың зәрінде микроальбуминурия анықталды.Дәрігердің қойған диагнозы://

АГ 3дәреже, өте төмен қауіп тобы//

АГ 3дәреже, төмен қауіп тобы//

АГ 3дәреже, орташа қауіп тобы//

АГ 3дәреже, жоғары қауіп тобы//

АГ 3дәреже, өте жоғары қауіп тобы

***

АГ-ның 2-ші дәрежесімен ауыратын 58 жастағы науқастың ЭКГ-де солжақ қарыншаның гипертрофиясы анықталды.Дәрігердің қойған диагнозы://

АГ 2дәреже, өте төмен қауіп тобы//

АГ 2дәреже, төмен қауіп тобы//

АГ 2дәреже, орташа қауіп тобы//

АГ 2дәреже, жоғары қауіп тобы//

АГ 2дәреже, өте жоғары қауіп тобы

***

ЭКГ-де төмендегі өзгерістер болғанда: ритм қалыпты емес, Р тісшесі жоқ, изосызықша ретсіз ірі және ұсақ толқынды тербелістерден тұрады. Дәрігер қандай шешімге келеді?//

Синустық тахикардия//

Жыбырлақ аритмия//

Жүрекшелік экстрасистолия//

Эктопиялық ритм//

Қарыншалық экстрасистолия.

***

Емханалық жағдайда 38 жастағы науқас төс артының қатты ауырғандығына шағымданды. ЭКГ – де жедел миокард инфарктінің белгісі бар. Сіздің тактикаңыз?//

Кардиологиялық бөлімге жедел жатқызу //

Ауырғандық сезімін басып, кардиологиялық бөлімге жедел жатқызу//

Науқасты зерттеулерден өткізу (қан анализі, холестерин)сосын ауруханаға жатқызу //

Ауырғандықты басып, емханалық жағдайда емін жалғастыру//

Емхананың күндізгі стационарында емдеу

***

Бақшада ауыр жұмыс істегеннен кейін 58 жастағы науқас әйелде төс артында қатты басып ауырғандық сезімі, ауаның жетпеуі, әлсіздік, тершеңдік пайда болды. Екі рет нитроглицерин қабылдады, бірақ жеңілдік болған жоқ. Қарағанда: жалпы жағдайы орташа ауыр, терісі бозғылт, ылғалды. Жүрек тондары аритмиялы. АҚҚ - 160/95 мм.сын.бағ., пульс- 90 рет минутына.Тынысы везикулярлы. Іші өзгеріссіз. Мүмкін болатын диагнозды көрсетіңіз?//


Жедел миокардит//

Климактериялық кардиопатия//

Жедел миокард инфаркті//

Артериальды гипертензия//

Қабырғааралық невралгия

***

144/96 мм. сын.бағ. АГ ауруының қандай дәрежесіне сәйкес келеді?//

I дәрежесі//

II дәрежесі//

III дәрежесі//

Жоғары қалыпты//

Мақсатты дәреже

***

Үдемелі стенокардияның белгілері://

Интенсивті күш түскенде ұстаманың пайда болуы//

Стенокардия ұстамаларының жиілігінің сиреуі//

Стенокардия ұстамаларының ұзақтығының қысқаруы//

Артериальды қан қысымының прогрессивті көтерілуі//

Ұстамалардың жеңілдеу физикалық күш түскенде де пайда болуы, нитроглицерин әсерінің азаюы немесе болмауы, стенокардия ұстамасы ұзақтығының ұлғаюы

***

АГ-мен ауыратын, бірақ қосарланған аурулары жоқ науқаста мақсатты АҚҚ -ның деңгейін көрсетіңіз//

120/80 мм.с.б. жоғары емес//

130/85 мм.с.б. жоғары емес//

140/90 мм.с.б. жоғары емес //

160/90 мм.с.б. жоғары емес //

150/95 мм.с.б. жоғары емес

***

Науқастың диагнозы тұрақты стенокардия,1ФК.Қай диспансерлік топта болады?//

0-ші Диспансерлік топ//

1-ші Диспансерлік топ //

3-ші Диспансерлік топ //

2 –ші Диспансерлік топ //

«Д» бақылауды қажет етпейді

***

Қосарланған ауруы бар, 46 жастағы науқасқа дәрігер АГ 3 дәрежесі, қауіп тобы 4-деген диагноз қойды.Төмендегі мүмкін болатын диагноз://

ӨСОА//

Созылмалы гепатит//

Асқазанның жара ауруы//

РА//

Жүрек функциясының созылмалы жеткіліксіздігі

***

Қант диабетімен ауыратын науқаста мақсатты қан қысымы қандай болуға тиісті?//

120/80 мм.с.б.//

130/85 мм.с.б.//

140/90 мм.с.б.//

120/80 мм.с.б.//

125/75 мм.с.б.

***

Жүректің ишемиялық ауруы диагнозын ерте анықтауда информативті болып саналады://

Аускультативті мәліметтер//

ЖИА ауруына тән анамнез//

ЭКГ мәліметтері//

Қанның анализі (клиникалық, биохимиялық)//

Гемодинамика жағдайы

***

АҚҚ 166/94 мм.с.б. АГ –ның қандай дәрежесіне жатады?//

I дәрежесіне//

II дәрежесіне//

III дәрежесіне//

Мақсатты дәрежесі//

Оптимальды қалыпты

***

Трансмуральды миокард инфаркті кезінде ЭКГ -де болатын өзгеріс://

ST сегментінің бірнеше жалғамдарда көтерілуі//

ST сегментінің бірнеше жалғамдардағы депрессиясы//


QS комплексінің 2 немесе одан да көп жалғамдарда болуы//

Гис будасының солжақ тармағының блокадасы//

Жүрек жұмысы ырғағының бұзылуы

***

Дәрігердің қабылдауына АГ-нің 2-ші дәрежесімен ауыратын, 36 жастағы екі қабат әйел келді. Базисті терапия ретінде қандай гипотензивті препарат қолданылады?//

Допегит//

Козаар//

Клофелин//

Гипотиазид//

Эналаприл

***

АҚҚ 184/110 мм.с.б. АГ-ның қандай дәрежесіне сәйкес?//

I дәрежеге//

II дәрежеге//

III дәрежеге//

Мақсатты дәрежеге//

Қалыпты жоғары қан қысымы

***

Тахикардиямен өтетін II дәрежедегі АГ ауруы бар 55 жастағы науқасты емдеуді қандай дәрілік топтан бастау тиімді?//

Диуретиктер//

АПФ ингибиторлары//

Β-блокаторлар//

Кальций антагонисттері//

Нитраттардан

***

Егде жастағы науқастардың миокард инфарктіне аса тән емес?//

Ми қан тамырлары қызметінің қоса бұзылуы//

Аритмиялық вариант//

Ауырсынусыз түрі//

Ауырғандық ұстамасының интенсивтілігінің азаюы//

Интенсивті ангинозды ұстама

***

Миокард инфаркті кезіндегі науқастардың өлімінің ең жиі себептері://

Кардиогенді шок//

Өкпе шемені//

Қарынша фибрилляциясы//

Жүрек тампонадасы//

Толық атриовентрикулярлы блокада

***

Емханада науқасқа жедел миокард инфаркті деген диагноз қойылды. Жедел жәрдем бригадасы келгенше, ең бірінші қандай топтағы препарат тағайындалуы тиіс?//

Нитраттар, дезагреганттар //

Анальгетиктер//

витаминдер//

Β-блокаторлар//

АТФ –парентеральды

***

АГ-нің жоспарлы еміне қандай диуретик ұсынылады?//

Фуросемид//

Гипотиазид//

Верошпирон//

Урегит//

Диакарб

***

АГ-ні АПФ ингибиторларымен қандай жағдайда емдеуге болмайды://

Қант диабеті//

Тыныс тұншықпасы//

Жүктілік//

Подагра//

Рейно синдромы//

***

ЖИА-ның Нью-Йорк Ассоциясы (NYHA) бойынша ентігу баспалдақпен 3 қатарға көтерілгенде немесе 500 метрден артық жерге жүрген кезде білінсе, стенокардияның қандай функциональды класына жатқызасыз?//

I ФК//

II ФК//

III ФК//

IV ФК//

0 ФК

***

ЖИА-ның Нью-Йорк Ассоциясы (NYHA) бойынша ентігу өте ауыр физикалық күш түскенмен байланысты болса,стенокардияның қандай функциональды класына жатқызасыз?//

I ФК//

II ФК//

III ФК//

IV ФК//

0 ФК

***

ЖИА-ның Нью-Йорк Ассоциясы (NYHA) бойынша ентігу аздаған физикалық күш түскеннен кейін және 1 қабатқа көтерілгенде пайда болатын болса,стенокардияның қандай функциональды класына жатқызасыз?//


I ФК//

II ФК//

III ФК//

IV ФК//

0 ФК

***

ЖИА-ның Нью-Йорк Ассоциясы (NYHA) бойынша ентігу тыныштықта пайда болатын болса,стенокардияның қандай функциональды класына жатқызасыз?//

I ФК//

II ФК//

III ФК//

IV ФК//

0 ФК

***

Күш түсу стенокардиясының III ФК болғанда,жүректе ауырғандық сезім қандай жағдайда пайда болады?//

Тыныш күйде//

Баспалдақтың 3 аралығына көтерілгенде және жаяу 500м қашықтыққа жүргенде//

+Баспалдақтың 1 аралығына көтерілгенде және жаяу 100-200 м қашықтыққа жүргенде//

Қалыпты ауыр физикалық күш түскенде//

Аса ауыр физикалық күш түскенде

***

Ауырсынусыз өтетін миокард ишемиясын анықтау тәсілі://

Тыныш күйдегі ЭКГ//

Эхо КГ//

Аортокоронарография//

Жүктемелі сынамалар//

Рентгенография

***

Солжақ қарыншаның гипертрофиясын анықтайтын ең нақты тәсіл://

Перкуссия//

ЭКГ//

ЭхоКГ//

Рентгендік тексеру//

Тәуліктік мониторлау

***

1999 ж ДДСҰ жіктелісі бойынша АГ-нің дәрежелерге бөлінуі неге байланысты://

Нысана мүшелерінің зақымдануына//

АҚҚ көрсеткішіне//

Тағайындалған емге резистенттік//

ЖИА-ның қатерлі факторларының болуына//

Қосымша аурулардың болуына

***

ДДСҰ (1999 ж) шешімі бойынша геморрагиялық инсульт болған және АҚҚ 160/100 мм.с.б. Науқас қандай қауіп-қатер тобына жатады?//

Төмен//

Орташа//

Жоғары//

Өте жоғары//

Қауіптілігі жоқ (0)

***

ДДСҰ (1999 ж) шешімі бойынша қосымша аурулары және қауіп-қатер факторлары жоқ АҚҚ 155/95 мм.с.б. 40 жастағы науқас қандай қатерлі топқа жатады?//

Төмен//

Орташа//

Жоғары//

Өте жоғары//

Қауіптілігі жоқ (0)

***

Төмендегі көрсетілгендердің ішінен гипертониялық кризге жатпайды?//

Құсумен бетінің ісінуімен өтетін АҚҚ 180/120мм.с.б. жедел көтерілуі//

Қатты бас ауруымен өтетін жедел АҚҚ 230/130мм.с.б, дейін көтерілуі//

Ентігумен өтетін жедел АҚҚ 170/100мм.с.б, дейін көтерілуі//

Клиникалық көрініссіз өтетін АҚҚ 200/120мм.с.б. дейін көтерілуі//

Энцефалопатия белгілерімен өтетін АҚҚ 150/90мм.с.б. дейін көтерілуі

***

β-блокаторларды қолданудың қарсы көрсетпелеріне жатады://

Миокард инфаркті//

Жүрек функциясының созылмалы жеткіліксіздігі//

ӨСОА//

II-III дәрежедегі атриовентрикулярлық блокада//

Глаукома

***

Q (тісше) ирегінің қалыпты жағдайдағы интервалы//

0,02 с//

0,03 с//

0,04 с//

0,05 с//

0,06 с//

***

QRS комплексінің қалыпты жағдайдағы интервалы//

0,05 – 0,08 с//

0,08 – 0,10 с//

0,08 – 0,12 с//

0,10 – 0,12 с//

0,12 – 0,14

***

45 жастағы науқас дәрігерге 20 минуттан ұзаққа созылған, нитроглицерин көмектеспейтін, түнде пайда болған төс артының қысып ауырғанына шағымданып келді.. Дәрігердің диагнозы: ЖИА. Жедел миокард инфаркті (алдыңғыаралық). Өзгеріс ЭКГ-нің қандай жалғамдарында болады?//

I, aVL, V1- V3//

III, aVF, II//

V5, V6, III, aVF//

V3, V4//

V1 – V3

***

63 жастағы науқас АГ-нің II дәрежесі, қауіп тобы II диагнозымен келді. ЭКГ-де QS комплексі. RS-T жоғарылаған. Дәрігер ЖИА. Жүректің артқы бүйірінің инфаркті деген диагноз қойды.Өзгеріс ЭКГ-нің қандай жалғамдарында болады?//

I, aVL, V1- V6//

III, aVF, II//

V5, V6, III, aVF//

V3, V4//

V1 – V3

***

Стрестен кейін 36 жастағы науқаста жүрек тұсының шаншып ауыруы пайда болды. Қарағанда: жалпы жағдайы қанағаттанарлық. АҚҚ 120/60 мм сын.бағ. ЭКГ-де кезектен тыс, кеңіген және деформацияланған QRS. ST сегменті мен Т тісшесі QRS комплексіне дискордантты орналасқан.Компенсаторлық пауза толық//

Жыбырлақ аритмия//

Қарыншалық фибрилляция//

Жүрекшелік экстрасистолия//

Эктопиялық ритм//

Қарыншалық экстрасистолия.

***

Жүректің туа біткен ақауы бар 20 жастағы науқаста стресстен кейін жүрек тұсының шаншып ауыруы пайда болды. ЭКГ-де Р тісшелеріне QRS комплексі сәйкес, PQ интервалы > 0,20с. Сіздің шешіміңіз қандай?//

Гис будасының оңжақ тармағының блокадасы//

АВ блокадасының I дәрежесі//

Гис будасының солжақ тармағының блокадасы//

Синоатриалдық блокада//

Қарыншалық экстрасистолия.

***

59 жастағы науқас ХОБЛ орта дәрежесі, өкпелік-жүрек жеткіліксіздігімен ауырады. ЭКГ-де R тісшесі V1- V2 жалғамдарында соң пайда болған, сегмент ST қисық төмендеген, Т тісшесі теріс. Сіздің шешіміңіз қандай?

Синоатриальдық блокада//

АВ блокадасының I дәрежесі//

Гис будасының солжақ тармағының блокадасы//

Қарыншалық экстрасистолия//

толық АВ-блокада//

Гис будасының оңжақ тармағының блокадасы//

***

59 жастағы науқаста АГ III, қауіп тобы IV, жүрек функциясының созылмалы жеткіліксіздігі. ЭКГ-де R тісшесі I, V5, V6 жалғамдарында кеңіген, иректелген, S тісшесі V1, V2 тереңдеген, ал Q тісшесі I, V5, V6 жоқ. Сіздің шешіміңіз қандай?

Синоатриальдық блокада//

АВ блокадасының I дәрежесі//

Гис будасының солжақ тармағының блокадасы//

Қарыншалық экстрасистолия//

Толық АВ-блокадасы//

Гис будасының оңжақ тармағының блокадасы//

***

ЖИА-ның Нью-Йорк Ассоциясы (NYHA) бойынша неше функциональды класы бар?//

2//

3//

4//

5//

***

Нью-Йорк Ассоциясының I функциональды класына сәйкес клиникалық көрініс//

Физикалық жүктемені аздап азайту//

Күнделікті физикалық жүктеме ентігу мен жүректің соғуын тудырмайды//

Күнделікті физикалық жүктеме ентігу мен жүректің соғуын тудырады//

Азғантай физикалық жүктеме ентігу мен жүректің соғуын тудырады//

Азғантай физикалық жүктемеден кейін жағдайы едәуір нашарлайды

***

Нью-Йорк Ассоциясының II функциональды класына сәйкес клиникалық көрініс//

Физикалық жүктеме шектелмейді //

Күнделікті физикалық жүктеме ентігу мен жүректің соғуын тудырмайды//

Күнделікті физикалық жүктеме ентігу мен жүректің соғуын тудырады//

Азғантай физикалық жүктеме ентігу мен жүректің соғуын тудырады//

Азғантай физикалық жүктемеден кейін жағдайы едәуір нашарлайды

***

Нью-Йорк Ассоциясының III функциональды класына сәйкес//

Физикалық жүктеме шектелмейді //

Күнделікті физикалық жүктеме ентігу мен жүректің жиі соғуын тудырмайды//

Күнделікті физикалық жүктеме ентігу мен жүректің жиі соғуын тудырады//

Азғантай физикалық жүктеме ентігу мен жүректің жиі соғуын тудырады//

Азғантай физикалық жүктемеден кейін едәуір нашарлайды

***

Нью-Йорк Ассоциясының IV функциональды класына сәйкес//

Физикалық жүктеме шектелмейді //

Күнделікті физикалық жүктеме ентігу мен жүректің соғуын тудырмайды//

Күнделікті физикалық жүктеме ентігу мен жүректің соғуын тудырады//

Азғантай физикалық жүктеме ентігу мен жүректің соғуын тудырады//

Тыныш жағдайда да ентігу мен жүректің соғуы болады

***

Жедел миокард инфаркті кезіндегі сезімділігі ең жоғары маркер//

Аспарагинат трансаминаза (АСТ)//

Тропонин І//

ЛДГ//

Аланин трасаминаза (АЛТ)//

Миоглобин.

***

Артериялық гипертензияның өте қауіпті тобына жатады//

Көз торы артерияларының жайылмалы тарылуы//

Көз торы артерияларының шектеулі тарылуы//

Науқастың жасы 65 тен жоғары болса//

Қан қысымы қалыпты деңгейде; бірақ қант диабеті бар//

Қандағы холестерин деңгейі 6,6 ммоль/л жоғары.

***

Атриовентрикулярлық блокаданың І-ші дәрежесіне тән белгіні көрсетіңіз//

ЭКГ-де қарынша мен жүрекшенің бір-біріне тәуелсіз жиырылуы тіркеледі//

ЭКГ-де синустық брадикардия тіркеледі//

ЭКГ-де тек қана қарыншалардың жиырылуы тіркеледі//

ЭКГ-де тек қана жүрекшелердің жиырылуы тіркеледі//

ЭКГ –де PQ-интервалының ұзаруы тіркеледі.

***

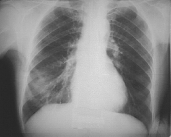
30 жастағы, зиянды әдеті жоқ, науқас дене қызуының 38º-ке дейін көтерілгеніне, қақырық аз бөлінетін жөтелге, жалпы әлсіздікке шағымданды. Ауырғанына 3 күн болған. Тексергенде- рентген суретте төмендегідей өзгеріс бар.Осы науқасты емдеу үшін қандай антибиотикті тағайындаған тиімді?//

 

ефалоспориндер//

Фторхинолондар//

Аминогликозидтер//

Сульфаниламидтер

***

Пневмонияда болатын перкуссиялық дыбыстың сипаттамасы://

Перкуссиялық қорап дыбысы //

Дыбыс дірілі күшейген және перкуссиялық дыбыс тұйықталған//

Анық өкпе дыбысы//

Тимпанит дыбысы//

Мозаика тәрізді дыбыс

***

Обструктивті бронхит диагнозының ауырлық дәрежесін анықтау үшін қандай қосымша зерттеулер жүргізіледі://

Өкпенің рентгенографиясы//

Қан анализі//

ЭКГ//

Жалпы қақырық анализі//

Спирография

***

ӨСОА-мен ауыратын науқастарға пикфлоуметрия жасау не үшін қажет?://

Аурудың ауырлық дәрежесін бағалау//

Бронх демікпесін ерте диагностикалау//

Бронх обструкциясын анықтау//

ӨТС(ЖЕЛ) төмендеу дәрежелерін бағалау//

Емнің тиімділігін бағалау

***

Оралды контрацептивтерді көп жылдан бері қолданатын, дене салмағының индексі 32, шылым шегетін 35 жастағы әйел ентігуге, дене қызуының 37,5 С көтерілуіне, қан аралас қақырыққа, әлсіздікке, кеуде қуысының солжақ бөлігінің ауырғандығына шағымданады. Сіздің болжам диагнозыңыз://

Созылмалы бронхиттің өршуі//

Ошақты пневмония//

Бронхоэктаз ауруы//

Жүректің митральды қақпақшасының ақауы//

Өкпе артериясының тромбоэмболиясы

***

Өкпенің созылмалы обструктивті ауруының қанша ауырлық дәрежесі бар?//

3//

4//

2//

5//

***

22 жылдан бері шылым шегетін 56 жастағы науқастың рентгенограммасында өкпе суреті өте анық анықталған, қабырға аралық кеңістік кеңейген, диафрагманың күмбездену белгілері қай ауруға тән://

Спонтанды пневмоторакс//

Өкпеден қан кету//

Кавернозды туберкулез//

Өкпе эмфиземасы//

Ауруханадан тыс пневмония

***

70 жастағы науқас құрғақ жөтелге, кей кезде ұзаққа созылатын қан түкіруге,арықтағанына шағымданды.Шылым шегу индексі 28.Жағдайының ауырлағанына 1 ай болды.Қарағанда: жалпы жағдайы орташа.Дене бітімі дұрыс, аздап арықтау. Тері тургоры төмендеген. Өкпесін тыңдағанда қатаң дыбыс естіледі. Тыныс алу жиілігі-20 рет 1 мин.Рентгенограммада –өкпе түбірінде шеті тегіс емес, гомогенді интенсивті қараю бар. Терапевт қандай ауру деп ойлауы мүмкін?//

 

Созылмалы бронхит//

Туберкулез//

Бронхогенді рак//

Пневмокониоз//

Бронхоэктаз ауруы

***

Өкпенің созылмалы обструктивті ауруында тағайындалатын базисті терапия?//

Муколитиктер(амброксол)//

Жөтелге қарсы дәрілер(бромгексин)//

Кортикостероидтар(преднизолон)//

Антибиотиктер(тетрациклин)//

М-холинолитиктер (ипратропиум бромид)

***

Пневмонияға қандай аускультативті белгілер тән//

Құрғақ сырыл//

Амфорикалық тыныс//

Ылғалды сырылдар//

Плевраның үйкеліс шуы//

«Үнсіз» өкпе

***

Бронх демікпесін емдейтін базисті препараттарға не жатады?//

Бронходилятатор//

Ингаляциялық кортикостероидтар//

Антибиотиктер//

Муколитиктер//

Антиоксиданттар

***

Созылмалы обструктивті бронхитпен ауыратын 48 жастағы науқасты емдеу үшін қандай бронходилятатор базисті дәрі болады?//

Сальбутамол//

Беротек//

Атровент//

Теофиллин//

Эуфиллин

***

Бронх демікпесінің орташа ауырлық ағымының емін қай препараттан бастаған жөн?//

Жүйелі глюкокортикостероидтар//

Ингаляциялық глюкокортикостероидтар//

Натрий хромогликаты//

Беротек//

Эуфиллин

***

Пневмониямен ауырған, бірақ қазір клиникалық, рентгенологиялық және лабораториялық ауытқулары жоқ науқастарға қандай қайта қалпына келтіру шаралары тағайындалмайды?//

Емдік дене шынықтыру//

Күнделікті таңертеңгілік гимнастика//

Таза ауада серуендеу//

Шынығу//

Антибиотикпен емдеу

***

 

Өкпенің созылмалы обструктивті ауруын емдеу үшін қандай препарат қолданылады?//

Бензогексоний//

Ипратропиум бромид (атровент)//

Церукал//

Пирацетам//

Эуфиллин

***

Созылмалы бронхиттің диагностикалық критерийлері болады://

Жылына аз дегенде 1 ай қақырықпен жөтелдің болуы//







Date: 2015-07-01; view: 811; Нарушение авторских прав



mydocx.ru - 2015-2026 year. (0.478 sec.) Все материалы представленные на сайте исключительно с целью ознакомления читателями и не преследуют коммерческих целей или нарушение авторских прав - Пожаловаться на публикацию