Главная Случайная страница


Полезное:

Как сделать разговор полезным и приятным Как сделать объемную звезду своими руками Как сделать то, что делать не хочется? Как сделать погремушку Как сделать так чтобы женщины сами знакомились с вами Как сделать идею коммерческой Как сделать хорошую растяжку ног? Как сделать наш разум здоровым? Как сделать, чтобы люди обманывали меньше Вопрос 4. Как сделать так, чтобы вас уважали и ценили? Как сделать лучше себе и другим людям Как сделать свидание интересным?


Категории:

АрхитектураАстрономияБиологияГеографияГеологияИнформатикаИскусствоИсторияКулинарияКультураМаркетингМатематикаМедицинаМенеджментОхрана трудаПравоПроизводствоПсихологияРелигияСоциологияСпортТехникаФизикаФилософияХимияЭкологияЭкономикаЭлектроника






Интертерриториальный матрикс





Наружный волокнистый слой,

Внутренний клеточный (хондрогенный) слой;

II - зона молодого хряща: 3 - одиночные хондроциты;

III - зона зрелого хряща: 4 - изогенные группы хондроцитов; 5 - межклеточное вещество (матрикс хряща)

 

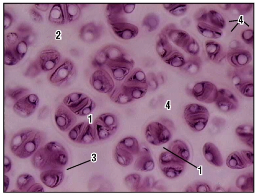
Рис. 81. Гиалиновая хрящевая ткань. Зона зрелого хряща. Поперечный срез (окраска гематоксилином и эозином, большое увеличение):

Изогенные группы хондроцитов;

Межклеточное вещество (матрикс хряща);

Территориальный матрикс;

интертерриториальный матрикс

Рис. 82. Эластический хрящ. Поперечный срез (окраска гематоксилином и орсеином, малое увеличение): I - надхрящница; 1 - одиночные хондроциты; 2 - изогенные группы хондроцитов (колонки); 3 - межклеточное вещество хряща с эластическими волокнами

Рис. 83. Эластическая хрящевая ткань. Поперечный срез (окраска гематоксилином и орсеином, большое увеличение): 1 - изогенные группы хондроцитов (колонки); 2 - эластические волокна в межклеточном веществе хряща

Рис. 83 а. Волокнистая хрящевая ткань (фрагмент волокнистого хряща) (окраска гематоксилином и эозином, малое увеличение): 1 - хрящевые клетки; 2 - коллагеновые волокна

Рис. 84. Пластинчатая костная ткань. Компактное вещество диафиза трубчатой кости (окраска по Шморлю): А - надкостница, периост; I - наружный слой общих (генеральных) костных пластинок; II - остеонный слой: 1 - остеоны; 2 - канал остеона с кровеносным сосудом; 3 - система вставочных пластинок; III - внутренний слой общих (генеральных) костных пластинок; Б – эндост

Рис. 85. Пластинчатая костная ткань. Компактное вещество. Остеоны (окраска по Шморлю, большое увеличение):







Date: 2015-06-11; view: 2724; Нарушение авторских прав



mydocx.ru - 2015-2026 year. (1.651 sec.) Все материалы представленные на сайте исключительно с целью ознакомления читателями и не преследуют коммерческих целей или нарушение авторских прав - Пожаловаться на публикацию