Главная Случайная страница


Полезное:

Как сделать разговор полезным и приятным Как сделать объемную звезду своими руками Как сделать то, что делать не хочется? Как сделать погремушку Как сделать так чтобы женщины сами знакомились с вами Как сделать идею коммерческой Как сделать хорошую растяжку ног? Как сделать наш разум здоровым? Как сделать, чтобы люди обманывали меньше Вопрос 4. Как сделать так, чтобы вас уважали и ценили? Как сделать лучше себе и другим людям Как сделать свидание интересным?


Категории:

АрхитектураАстрономияБиологияГеографияГеологияИнформатикаИскусствоИсторияКулинарияКультураМаркетингМатематикаМедицинаМенеджментОхрана трудаПравоПроизводствоПсихологияРелигияСоциологияСпортТехникаФизикаФилософияХимияЭкологияЭкономикаЭлектроника






Визуальн диагностика





Какой синдром заболеваний легких вы видите// +затемнение// Просветление// патология корня легкого// патология легочного рисунка// патология нарушения бронхиальной

***

Какой патологический процесс в легких вы видите// Пневмония// Пневмоторакс// +гидропневмоторакс// Плеврит// рак легкого

***

Какой патологический процесс в легких вы видите// диссеминированный туберкулез легких// саркоидоз легких// +метастазы в легкие// альвеококкоз легких// эхинококкоз легких

***

Какой патологический процесс в легких вы видите// Пневмония// экссудативный плеврит// +осумкованный плеврит// ателектаз правого легкого// цирроз правого легкого

***

Какой патологический процесс в легких вы видите// Пневмония// экссудативный плеврит// +осумкованный плеврит// ателектаз правого легкого// цирроз правого легкого

***

Какой патологический процесс в легких вы видите// пневмония левого легкого// экссудативный плеврит// осумкованный плеврит// +ателектаз левого легкого// цирроз левого легкого

***

Какой патологический процесс в легких вы видите// Пневмония// экссудативный плеврит// +осумкованный плеврит// ателектаз правого легкого// цирроз правого легкого

***

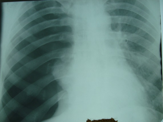
Какой патологический процесс в легких вы видите// пневмония правого легкого// +пневмоторакс правого легкого// эмфизема правого легкого// ателектаз правого легкого// цирроз правого легкого

***

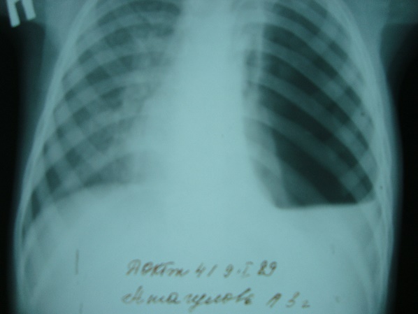
Какой патологический процесс в легких вы видите// пневмония левого легкого// пневмоторакс слева// +гидропневмоторакс слева// плеврит слева// рак левого легкого

***

Какой патологический процесс в легких вы видите// пневмония правого легкого// +экссудативный плеврит справа// осумкованный плеврит справа// ателектаз правого легкого// цирроз правого легкого

***

Какой патологический процесс в легких вы видите// пневмония левого легкого// +экссудативный плеврит слева// осумкованный плеврит слева// ателектаз левого легкого// цирроз левого легкого

***

Какой патологический процесс в легких вы видите// пневмония правого легкого// +экссудативный плеврит справа// осумкованный плеврит справа// ателектаз правого легкого// цирроз правого легкого

***

Какой патологический процесс в легких вы видите// осумкованный плеврит правого легкого// +эхинококковая киста правого легкого// мезотелиома плевры правого легкого// пневмония верхней доли правого легкого// ателектаз верхней доли правого легкого

***

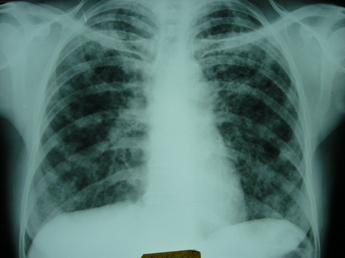
Какой патологический процесс в легких вы видите// +диссеминированный туберкулез легких// септическая пневмония// саркоидоз легких// метастазы в легкие// эхинококкоз легких

***

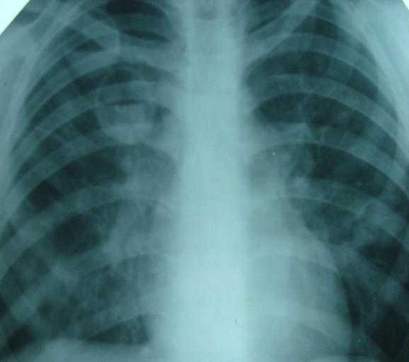
Какой патологический процесс в легких вы видите// +поликистоз легких// септическая пневмония// альвеококкоз легких// метастазы в легкие// эхинококкоз легких

***

Какой патологический процесс в легких вы видите// пневмония правого легкого// +пневмоторакс правого легкого// эмфизема правого легкого// ателектаз правого легкого// цирроз правого легкого

***

Какой патологический процесс в легких вы видите// +ателектаз верхней доли правого легкого// туберкулез верхней доли правого легкого// осумкованный верхушечный плеврит// пневмония верхней доли справа// инфаркт верхней доли правого легкого

***

Какой патологический процесс в легких вы видите// пневмония левого легкого// +экссудативный плеврит слева// осумкованный плеврит слева// ателектаз левого легкого// цирроз левого легкого

***

Какой патологический процесс в легких вы видите// пневмония справа// пневмоторакс правого легкого// +гидропневмоторакс справа// плеврит справа// рак правого легкого

***

Какой патологический процесс в легких вы видите// +абсцесс правого легкого// гангрена правого легкого// киста правого легкого// туберкулезная каверна правого легкого// периферический рак правого легкого в стадии распада

***

Ваше заключение по данному снимку// Гидронефроз левой почки// Мочекаменная болезнь правой почки// Мочекаменная болезнь левой почки// +Аплазия правой почки// Новообразование левой почки

***

  Назовите ваше заключение по снимку// Гидронефроз правой почки, поликистоз левой почки// Рентгеннегативный камень правой почки, киста левой почки// +Рентгеннегативный камень правой почки, поликистоз левой почки// Рентгенпозитивный камень правой почки, поликистоз левой почки// Новообразование правой почки, гидрокаликоз левой почки

***


  Назовите метод исследования и ваше заключение// +КТ – новообразование и дивертикул мочевого пузыря// МРТ – новообразование и дивертикул мочевого пузыря// КТ – новообразование мочевого пузыря// МРТ – новообразование мочевого пузыря// ОФКТ - новообразование мочевого пузыря

***

  Назовите метод исследования и ваше заключение// КТ - Новообразование правой почки// КТ - Киста правой почки// МРТ - подкапсульная гематома правой почки// МРТ – аномалия развития правой почки// +КТ - подкапсульная гематома правой почки

***

  Ваше заключение по снимку// Новообразования почек// Оксолатовые камни почек// Уратовые камни почек// +Коралловидные камни почек// Гидронефроз почек

***

  Назовите метод исследования и ваше заключение по снимку// Экскреторная цистография – разрыв мочевого пузыря// Экскреторная цистография – дивертикул мочевого пузыря// +Ретроградная цистография – разрыв мочевого пузыря// Экскреторная цистография – новообразование мочевого пузыря// Ретроградная цистография – дивертикул мочевого пузыря

***

Назовите метод исследования и ваше заключение// +Экскреторная урография – камень правого мочеточника// Антеградная пиелография – гидронефроз правой почки// Экскреторная урография – новообразование правой почки// ретроградноая пиелография – расширение лоханки левой почки// Экскреторная урография – поликистоз левой почки

***

  Дайте заключение по данному снимку// доброкачественное новообразование мочевого пузыря// +Камни мочевого пузыря// Инородные тела мочевого пузыря// Множественные полипы мочевого пузыря// Злокачественное новообразование мочевого пузыря

***

  Интерпретируйте данную рентгенограмму// Гидронефроз правой почки// Конкремент левой почки// +Камень в левом мочеточнике// «Рентгеннегативный» камень правой почки// Новообразование левой почки

***

Интерпретируйте данную рентгенограмму// Гидронефроз правой почки// Конкремент левой почки// Камень в левом мочеточнике// +Конкремент в правой почке// Новообразование левой почки

***

Укажите метод исследования и интерпретируйте полученные данные// +КТ - Новообразование правой почки// КТ - Киста правой почки// МРТ - подкапсульная гематома правой почки// МРТ – аномалия развития правой почки// МРТ - Новообразование правой почки

***

Дайте заключение по данному изображению// Туберкулезное поражение левой почки// Инфаркт левой почки левой почки// Подкапсульная гематома левой почки// +Внутрипочечная гематома левой почки// Злокачественное новообразование левой почки

***

Интерпретируйте данную рентгенограмму// Доброкачественное новообразование левой почки// Киста левой почки// Гидрокаликоз левой почки// Обызвествленная паразитарная киста// +Туберкулезное поражение левой почки

***

Назовите ведущий рентгенологический синдром на данной рентгенограмме// Нарушение рельефа слизистой// Дефект наполнения просвета кишечника// Ограниченное расширение просвета кишечника// +Ограниченное сужение просвета кишечника// Тотальное сужение просвета кишечника

***


Поставьте диагноз по данной рентгенограмме// +Непроходимость кишечника// Язвенная болезнь желудка// Болезнь Гришпрунга// Дивертикулез кишечника// Перфорация полого органа

***

Поставьте заключение по данной// рентгенограмме// Блюдцеобразный рак желудка// +Язвенная болезнь желудка// Болезнь Гришпрунга// Дивертикулез кишечника// Полип желудка

***

Назовите фазу контрастирования кишечника// Фаза одномоментного двойного контрастирования// Фаза спадения// Фаза тугого контрастирования// +Фаза рельефа// Фаза двойного контрастирования

***

Назовите ведущий симптом на данной рентгенограмме// Нарушение рельефа слизистой// Дефект наполнения просвета кишечника// Ограниченное расширение просвета кишечника// +Ограниченное сужение просвета кишечника// Тотальное сужение просвета кишечника

***

Интерпретируйте рельеф желудка на данном снимке// Нарушение рельефа слизистой – атрофический гастрит// Нарушение рельефа слизистой – Болезнь Гришпрунга// конвергенция складок – Язвенная болезнь желудка// расхождение складок - признаки новообразования желудка// +Рельеф желудка без изменений

***

Назовите ведущий рентгенологический синдром на данном снимке// Тотальное расширение просвета// Дефект наполнения// +Ограниченное расширение просвета// Ограниченное сужение просвета// Тотальное сужение просвета

***

Поставьте заключение по данной рентгенограмме// Жировой гепатоз печени// +Перфорация полого органа// Высокое стояние купола диафрагмы// Признаки абсцесс печени// Кишечная непроходимость

***

Интерпретируйте данные ирригографии// +Хронический атрофический колит// Дивертикулез кишечника// Болезнь Крона// Полипоз нисходящего отдела толстого кишечника// Неспецифический язвенный колит

***

Интерпретируйте данные ирригографии// Хронический колит// Дивертикулез кишечника// Болезнь Крона// +Полипоз толстого кишечника// Неспецифический язвенный колит

***

Интерпретируйте данные ирригографии// Каловый камень кишечника// Дивертикул кишечника// Злокачественное новообразование// Полипоз толстого кишечника// +Полип кишечника

***

Интерпретируйте данный снимок// Язва двенадцатиперстной кишки// +Дивертикул двенадцатиперстной кишки// Злокачественное новообразование// Дополнительный изгиб двенадцатиперстной кишки// Некротический энтероколит

***

Интерпретируйте данный снимок// Непроходимость кишечника// Дивертикул толстого кишечника// +Некротический энтероколит// Болезнь Гришпрунга Злокачественное новообразование

***


Интерпретируйте данные ирригографии// +Неспецифический язвенный колит// ивертикулез кишечника// Болезнь Крона// Полипоз нисходящего отдела толстого кишечника// Хронический колит

***

Назовите тактику лечения при данном заболевании и почему// Радио- и химио- терапия, хирургическое удаление пораженного сегмента легкого так как пациент страдает раком легкого// +Противогрибковая терапия, хирургическое удаление очага потому что заболевание вызвано поражением грибами рода Aspergillus// Антибиотикотерапия, противовоспалительная терапия, покой, потому что заболевание вызвано бактерией Streptococcus pneumoniae// Четырёхкомпонентная схема химиотерапии, так как заболевание вызвано палочкой Коха// Антибиотикотерапия, коррекция водно-электролитных расстройств так как заболевание вызвано бактерией рода Legionella//

***

Назовите препарат для купирования болевого синдрома при данном заболевании и почему// Но-Шпа, папаверин – спазмолитики// Гидроксизин, бенактизин – психотропные препараты// Эналаприл, каптоприл – ингибиторы АПФ// +Анальгин, аспирин – анальгетики// Ципромет, амоксиклав – антибиотики широкого спектра действия

***

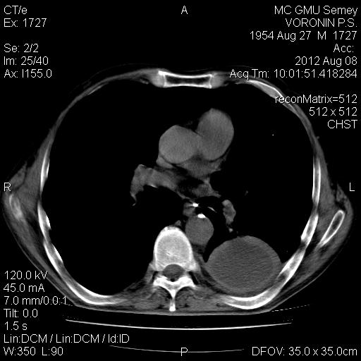
Назовите метод лечения при данной КТ томограмме// противовоспалительная и рассасывающая терапия терапия// +Пункция под УЗИ контролем// Оперативное удаление образования// Оперативное удаление образования и ближайших лимфоузлов// Дренаж плевральной полости по Бюллау

***

Ваша лечебная тактика при данной КТ картине// противовоспалительная и рассасывающая терапия терапия// Пункция под УЗИ контролем// Оперативное удаление образования// Оперативное удаление образования и ближайших лимфоузлов// +Дренаж плевральной полости

***

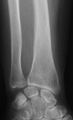
Какой патологический процесс вы видите// Воспалительный процесс// Перелом лучевой кости // +Перелом локтевой кости// Артроз лучезапястного сустава// Новообразование лучевой кости

***

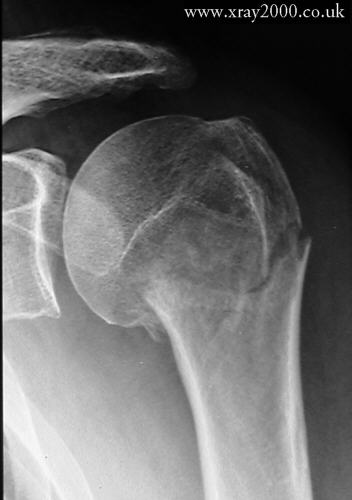
Какой вид перелома плечевой кости вы видите// Оскольчатый// Косой// Продольный// +Поперечный// «Y» образный

***

Какой вид перелома плечевой кости вы видите// Косой// +Винтообразный// Прямой // Компрессионный// «Y» образный

***

Какой вид перелома большеберцовой кости вы видите// Косой// Винтообразный// Прямой// Компрессионный// +Полифокальный

***

Какой вид перелома на данной рентгенограмме вы видите// Косой// Винтообразный// +Оскольчатый// Компрессионный// Полифокальный

***

Какой вид перелома на данной рентгенограмме вы видите// Косой// Винтообразный// Оскольчатый// +Компрессионный// Полифокальный

***

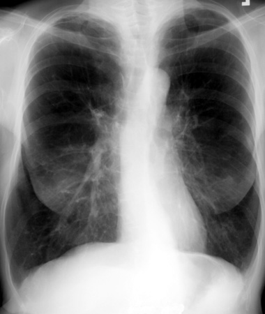
Какая конфигурация сердца представлена на данной рентгенограмме// аортальная// митральная// трапециевидная// шаровидная// +обычная

***

Какая конфигурация сердца представлена на данной рентгенограмме// +Аортальная// митральная// трапециевидная// шаровидная// обычная

***

Аортальная конфигурация сердца обусловлена увеличением// +аорты и левого желудочка// левого и правого предсердия// правого желудочка и левого предсердия// правого предсердия и левого желудочка// левый желудочек и конус легочной артерии

***

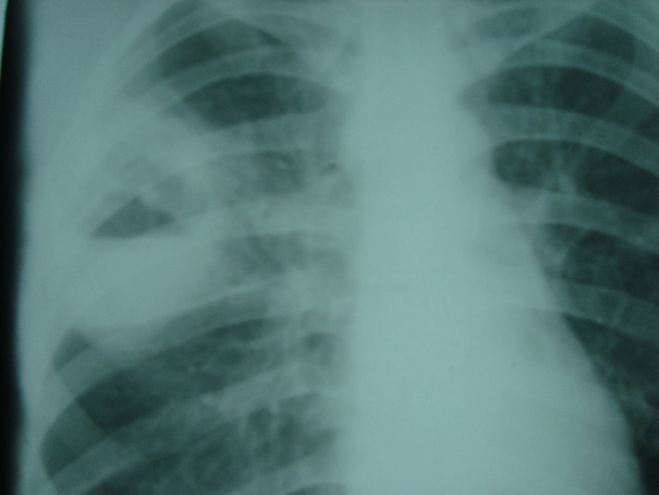
Какому заболеванию соответствует данная рентгенологическая картина// митральному стенозу// +миокардиту// перикардиту// инфаркту миокарда// гипертонической болезни

***

Каким патологическим субстратом обусловлен данный патологический процесс// +воздухом в плевральной полости// жидкостью в плевральной полости// инфильтрацией легочной ткани// полостью распада// спаечным процессом в плевральной полости

***

***

С чем связан механизм развития данного патологического процесса// со спонтанным разрывом легкого// с растеканием жидкости в плевральной полости// с инфильтрацией легочной ткани// с распадом легочной ткани// +со спаечным процессом в плевральной полости

 

Каким патологическим субстратом обусловлена данная рентгенологическая картина// уплотнением интерстиция// пропотеванием жидкости в альвеолы// инфильтрацией легочной ткани // +гиперплазией внутригрудных лимфатических узлов бронхопульмональной группы // гиперплазией внутригрудных лимфатических узлов паратрахеальной группы

***

Какие функциональные рентгенологические изменения дифференцируются при данном заболевании// уплощение диафрагмы// увеличение экскурсии диафрагмы// +уменьшение экскурсии диафрагмы// релаксация диафрагма// увеличение пульсации левого желудочка

***

Какая причина может вызвать данную рентгенологическую картину// уплотнение интерстиция// пропотевание жидкости в альвеолы// +плевральный выпот// инфильтрация легочной ткани// внутрибронхиальная опухоль

***

Признаки какого заболевания вы видите на рентгенограмме// флеболиты// опухоль почки// +мочекамненная болезнь// кишечная непроходимость// поликистоз почки

***

  Какой патологический процесс в почках вы видите// удвоение почки// расширение лоханки и мочеточника// опухоль почки// коралловидный камень почки слева// +гидронефроз

***

К какой группе заболеваний соответствует данная рентгенологическая картина// +аномалии развития почек // воспалительные заболевания почек// опухолевые заболевания почек// нефроптоз// мочекаменная болезнь почек

***

Рентгенологическая картина соответствует следующей аномалии развития почек// +подковообразная почка // аплазия правой почки// гипоплазия правой почки // гомолатеральнаядистопия правой почки// гетеролатеральнаядистопия левой почки

***

Какой патологический синдром в левой почке вы видите// +дефект наполнения лоханки// синдром дислокации// сужение мочеточника// расширение мочеточника // отсутствие функционирования почки

***

Какова причина данного патологического процесса// обструкция верхней трети мочеточника// обструкция нижней трети мочеточника // обструкция средней трети мочеточника// +обструкция устья мочеточника // опухоль верхней трети мочеточника

***

Каким патологическим процессом вызвана данная рентгенкартина// +рубцовой стриктурой пищевод// раком пищевода// эзофагитом// диафрагмальной грыжей// язвенным поражением

 

Какая причина может вызвать данную рентгенологическую картину// уплотнение интерстиция// пропотевание жидкости в альвеолы// травматическое повреждение легкого// инфильтрация легочной ткани// +внутрибронхиальная опухоль

***

***

Какому заболеванию соответствует рентгенкартина// полипоз кишечника// +дивертикулез кишечника// болезнь Крона// неспецифический язвенный колит// лейомиома

***

Каким патологическим субстратом обусловлена данная рентгенкартина// скоплением воздуха в кишечнике// скоплением жидкости в кишечнике// +скоплением воздуха и жидкости в кишечнике// скоплением жидкости в брюшной плости// скоплением воздуха в брюшной полости

***

  Какой вид исследования почек вы видите// УЗИ брюшной полости// зкскреторная урография// МРТ брюшной полости// +КТ брюшной полости// Сонография

***

Определите метод лучевого исследования// обзорная рентгенография почек// ретроградная пиелография// +экскреторная урография// антеградная пиелография// цистография

***

Какой синдром патологии костной ткани вы видите на данной рентгенограмме// Остеомаляция// Остеопороз// +Остеосклероз// Гипреостоз// Остеолизис

***

Какой синдром патологии костной ткани вы видите на данной рентгенограмме// Остеомаляция// Остеопороз// Остеосклероз// Гипреостоз// +Остеолизис

***

Какой синдром патологии костной ткани вы видите на данной рентгенограмме// Остеомаляция// Остеопороз// Остеосклероз// +Гипреостоз// Остеолизис

***

Какой синдром патологии костной ткани вы видите на данной рентгенограмме// +Остеомаляция// Остеопороз // Остеосклероз// Гипреостоз// Остеолизис

***

Какой синдром патологии костной ткани вы видите на данной рентгенограмме // Остеомаляция// Остеопороз// +Остеосклероз// Гипреостоз// Остеолизис

***

Какие изменения в позвоночнике вы видите на данной рентгенограмме// Болезнь Бехтерева// +Деформирующий спондилез// Остеохондроз// Межпозвоночная грыжа поясничного отдела// Гемангиома тела позвонка

***

Какие изменения в позвоночнике вы видите на данной рентгенограмме// Болезнь Бехтерева// Деформирующий спондилез// +Остеохондроз// Межпозвоночная грыжа поясничного отдела// Гемангиома тела позвонка

***

Какие изменения в позвоночнике вы видите на данной рентгенограмме// +Болезнь Бехтерева// Деформирующий спондилез// Остеохондроз// Межпозвоночная грыжа поясничного отдела// Гемангиома тела позвонка

***

Какие изменения в позвоночнике вы видите на данной рентгенограмме// Болезнь Бехтерева// Деформирующий спондилез// Остеохондроз// Межпозвоночная грыжа поясничного отдела// +Перелом тела позвонка

***

Какие изменения в лобной пазухе вы видите на данной рентгенограмме// Смешанная остеома// Фронтит// Губчатая остеома// +Компактная остеома// Перелом стенки лобной пазухи

***

Какие изменения вы видите на данной рентгенограмме// +Энхондрома// Остеома// Остеобластома// Остеохондрома// Остеомиелит

***

Какие изменения вы видите на данной рентгенограмме лопатки// Энхондрома// Остеома// Остеобластома// +Остеохондрома// Остеомиелит

***

Какие изменения вы видите на данной рентгенограмме плечевой кости// Инфаркт костного мозга// Остеомиелит плечевой кости// Остеобластома// +Остеохондрома// Аневризмальная костная киста

***

Больная, 40 лет, жалуется на боли в области правой голени, повышение температуры. Из анамнеза известно, что 3 недели назад больной произведен остеосинтез костей по поводу открытого перелома костей правой голени. Рентгенологические изменения характеризуются остеопорозом костей, линейным периоститом по ходу тела большеберцовой кости. Наличие экссудата в парооссальных тканях. О развитии какого заболевания можно думать//

остеогенная саркома//

доброкачественная опухоль большеберцовой кости//

+острый остеомиелит костей голени//

туберкулез костей голени//







Date: 2015-07-17; view: 5469; Нарушение авторских прав



mydocx.ru - 2015-2026 year. (0.506 sec.) Все материалы представленные на сайте исключительно с целью ознакомления читателями и не преследуют коммерческих целей или нарушение авторских прав - Пожаловаться на публикацию