Главная Случайная страница


Полезное:

Как сделать разговор полезным и приятным Как сделать объемную звезду своими руками Как сделать то, что делать не хочется? Как сделать погремушку Как сделать так чтобы женщины сами знакомились с вами Как сделать идею коммерческой Как сделать хорошую растяжку ног? Как сделать наш разум здоровым? Как сделать, чтобы люди обманывали меньше Вопрос 4. Как сделать так, чтобы вас уважали и ценили? Как сделать лучше себе и другим людям Как сделать свидание интересным?


Категории:

АрхитектураАстрономияБиологияГеографияГеологияИнформатикаИскусствоИсторияКулинарияКультураМаркетингМатематикаМедицинаМенеджментОхрана трудаПравоПроизводствоПсихологияРелигияСоциологияСпортТехникаФизикаФилософияХимияЭкологияЭкономикаЭлектроника






Тромбоциты






Тромбоцитопоэз


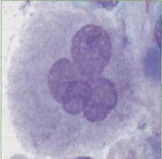
Дифференцировка и созревание клеток мега-кариоцитопоэза происходят в костном мозге, где из коммитированных, морфологически неиденти-фицируемых клеток-предшественников (КОЕ-Мгкц) формируются колонии мегакариоцитар-ных клеточных элементов. При созревании клет­ки проходят три морфологически дифференциру­емые стадии: мегакариобласт, который не превы­шает 10% всей популяции, промегакариоцит (око­ло 15%) и мегакариоцит (рис. 14) - на его долю приходится от 75 до 85%.

Процесс дифференцировки мегакариоцитар-ных элементов продолжается около 25 часов, такое же примерно время (около 25 часов) составляет со­зревание, а весь жизненный цикл - около 10 суток. Отличительной чертой клеточных элементов мега-кариоцитопоэза является их способность к эндоми-тозу (полиплоидизации) - делению ядра без разде-

Рис. 14. Мегакариоцит, диаметр 30-40 мкм. Ядро темно-фиолетового цвета, лопастное, с бухтообразными вдавле-ниями, фрагментированное. Хроматин распределен не­равномерно, Цитоплазма обильная, содержит обильную зернистость


ления цитоплазмы, что приводит к появлению ги­гантского размера клеток (мегакариоцитов). В про­цессе мегакариоцитопоэза (рис. 15) клетки проде­лывают от 3 до 6 эндомитозов, что соответствует плоидности мегакариоцита от 8 п до 64 п.

Регуляция мегакариоцитопоэза осуществляет­ся по принципу обратной связи: избыток тромбо­цитов в крови тормозит тромбоцитопоэз, а тром-боцитопения его стимулирует. Основными регу­ляторами, стимулирующими мегакариоцитопоэз, являются ИЛ-1, ИЛ-3, ИЛ-4, ИЛ-6, ИЛ-11, фактор стволовых клеток, лейкоз-ингибирующий фактор, гранулоцитарно-макрофагальный колониестиму-лирующий фактор (ГМ-КСФ), гранулоцитарный колониестимулирующий фактор (Г-КСФ), эритро-поэтин, тромбопоэтин. К факторам, ингибирую-щим тромбоцитопоэз, относят тромбоцитарный фактор 4, трансформирующий фактор роста Рр ин-терфероны-а и -у и другие ингибиторы.

В а-гранулах мегакариоцитов содержится значительное количество белков: фактор Вилле-бранда, тромбоцитарный фактор 4, тромбоспон-дин, фибриноген, фибронектин, тромбоцитарный ростовой фактор, трансформирующие ростовые факторы, тромбоцитарный ингибитор коллагена-зы. Основная масса их синтезируется в мегакарио-цитах, некоторые белки, такие, как альбумин, фибриноген, IgG, поступают в клетку путем эн-доцитоза. Способность зрелых мегакариоцитов к эндоцитозу проявляется в явлении эмпириопо-лезиса, суть которого заключается в захвате ге-мопоэтических клеток. Частота его возрастает при злокачественных новообразованиях. Тромбо-цитарная пероксидаза присутствует на всех ста­диях созревания клеток мегакариоцитарной ли­нии, включая тромбоциты. Мегакариоциты, син­тезируя трансформирующий ростовой фактор (3,


Тромбоциты


 



Рис. 15. Схема регуляции мегакариоцитопоэза. Внизу рисунка показаны периоды стимулирующего действия на мега-кариоцитоз основных стимуляторов. LIF - лейкоз-ингибирующий фактор, ТРО - тромбопоэтин


участвуют в накоплении коллагена и развитии фиброза.

Основная функция мегакариоцитопоэза -репопуляция тромбоцитов, поддержание их ко­личества в кровотоке на постоянном уровне. Мегакариоциты располагаются в костном моз­ге вблизи костно-мозговых синусов и по мере созревания внутрь клетки врастают раздели-


тельные мембраны, по которым в дальнейшем происходит деление цитоплазмы на тромбоци­ты. Существует точка зрения, что цитоплазма-тические отростки мегакариоцита (в виде лент диаметром 2-4 мкм) через миграционные поры проникают в синусы костного мозга, где и про­исходит отшнуровка тромбоцитов (тромбоци-тообразование).


Жизненный цикл тромбоцитов


Около 1/3 всей массы тромбоцитов находится в селезенке (селезеночный пул): при спленомегалии этот пул возрастает, что может приводить к пере­распределительной тромбоцитопении. При стиму­ляции адренорецепторов (физическая нагрузка, стресс) происходит выброс тромбоцитов в цирку­ляцию, что приводит к кратковременному тромбо-цитозу (рис. 16). После спленэктомии также в тече­ние некоторого времени наблюдается тромбоцитоз, который иногда достигает очень больших величин (до 800-1200 х 107л). Остальные 2/3 тромбоцитов циркулируют в крови. Средняя продолжительность жизни тромбоцитов составляет 9-10 суток.

Референтные значения. У здорового человека количество тромбоцитов может несколько менять-


ся в течение суток. Нормальное содержание тром­боцитов в крови колеблется в пределах 150-320 х 109/л. (В последнее время в связи с поступлением на отечественный рынок зарубежных гематологи­ческих счетчиков и анализаторов, в инструкции к которым даются зарубежные нормы, стали при­водить значения нормального содержания тром­боцитов в диапазоне от 150 до 450 х 109/л.)


При отсутствии в крови гемопоэтических стимулов общий объем циркулирующих тром­боцитов довольно постоянен. В патологических условиях количество и объем тромбоцитов мо­гут меняться (рис. 17). При снижении продук­ции тромбоцитов гемостатический потенциал может быть частично компенсирован за счет


Тромбоциты


 


Рис. 16. Жизненный цикл тромбоцитов. Тромбоциты об­разуются в костном мозге из мегакариоцитов, примерно 2/3 периферического пула находится постоянно в систе­ме циркуляции, 1/3 - в селезенке. При стимуляции адрено-рецепторов может возникнуть временный тромбоцитоз из-за выброса тромбоцитов в систему циркуляции из костно­го мозга и селезенки, Опустошение тромбоцитов в селе­зенке происходит и при ДВС-синдроме при тромбоцитопе-нии потребления, в последнем случае могут появляться мак­ротромбоциты с недостаточными функциональными свой­ствами адгезии и агрегации - возникает тромбоцитопатия


 



 


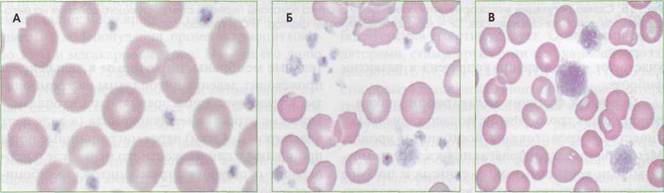
Рис. 17. Тромбоциты в периферической крови: А - нормальные тромбоциты, Б - анизоцитоз тромбоцитов при хрони­ческом моноцитарном лейкозе (нарушение дифференцировки на уровне полипотентных коммитированных предшествен­ников мегакариоцитопоэза), В - гигантские тромбоциты (макротромбоциты) при аутоиммунной тромбоцитопении


повышения их объема. В обратной ситуации, при повышении количества тромбоцитов выше 450 х 109/л, объем тромбоцитов не снижается ниже оп­ределенного физиологического уровня. Соот­ветственно общий объем тромбоцитарного пула в крови возрастает пропорционально уве­личению количества тромбоцитов. Это может


приводить к увеличению тромбогенного потен­циала.

С помощью автоматических гематологичес­ких анализаторов можно измерить средний объем тромбоцитов (MPV), дисперсию распределения тромбоцитов по объему (RDW) и оценить гисто­грамму распределения тромбоцитов по объему.


Структура тромбоцитов


Тромбоцит - безъядерная сферическая клетка диаметром 2-4 мкм, средний объем 7,5 мкм3 (от 3 до 10 мкм3, или фл-фемтолитры). Микрофор­мы тромбоцитов имеют диаметр менее 1,5 мкм,


макроформы могут достигать 6-10 мкм. Интакт-ные тромбоциты имеют форму диска или пласти­ны диаметром 2,8-3,4 мкм, толщиной 0,8-1,2 мкм и объемом от 5,7 до 8,9 мкм3 (рис. 18). В циркули-


 







Date: 2015-05-19; view: 868; Нарушение авторских прав



mydocx.ru - 2015-2026 year. (2.084 sec.) Все материалы представленные на сайте исключительно с целью ознакомления читателями и не преследуют коммерческих целей или нарушение авторских прав - Пожаловаться на публикацию