Главная Случайная страница


Полезное:

Как сделать разговор полезным и приятным Как сделать объемную звезду своими руками Как сделать то, что делать не хочется? Как сделать погремушку Как сделать так чтобы женщины сами знакомились с вами Как сделать идею коммерческой Как сделать хорошую растяжку ног? Как сделать наш разум здоровым? Как сделать, чтобы люди обманывали меньше Вопрос 4. Как сделать так, чтобы вас уважали и ценили? Как сделать лучше себе и другим людям Как сделать свидание интересным?


Категории:

АрхитектураАстрономияБиологияГеографияГеологияИнформатикаИскусствоИсторияКулинарияКультураМаркетингМатематикаМедицинаМенеджментОхрана трудаПравоПроизводствоПсихологияРелигияСоциологияСпортТехникаФизикаФилософияХимияЭкологияЭкономикаЭлектроника






A) остеогенная саркома





Дисциплина «Визуальная диагностика» по направлению

«Хирургические болезни»:

Визуальная диагностика»_ рус

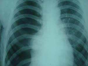
$$$001

Какой патологический процесс в легких вы видите на данной рентгенограмме?

 

A) пневмония правого легкого

B) пневмоторакс правого легкого

C) эмфизема правого легкого

D) ателектаз правого легкого

E)цирроз правого легкого

{Правильный ответ}= B

{Сложность}= 2

{Учебник}= (Лучевая диагностика т1. Труфанов 2009г.)

{Курс}=7

{Семестр}=14

$$$002

Поставьте диагноз по данной рентгенограмме:

 

A) абсцесс правого легкого

B) гангрена правого легкого

C) киста правого легкого

D) туберкулезная каверна правого легкого

E) периферический рак правого легкого в стадии распада

{Правильный ответ}= А

{Сложность}= 2

{Учебник}= (Лучевая диагностика т1. Труфанов 2009г.)

{Курс}=7

{Семестр}=14

$$$003

Больная, 40 лет, жалуется на боли в области правой голени, повышение температуры. Из анамнеза известно, что 3 недели назад больной произведен остеосинтез костей по поводу открытого перелома костей правой голени. Рентгенологические изменения характеризуются остеопорозом костей, линейным периоститом по ходу тела большеберцовой кости. Наличие экссудата в парооссальных тканях. О развитии какого заболевания можно думать?

A) остеогенная саркома







Date: 2015-05-19; view: 475; Нарушение авторских прав



mydocx.ru - 2015-2026 year. (1.722 sec.) Все материалы представленные на сайте исключительно с целью ознакомления читателями и не преследуют коммерческих целей или нарушение авторских прав - Пожаловаться на публикацию